相关产品推荐更多 >
万千商家帮你免费找货
0 人在求购买到急需产品
- 详细信息
- 技术资料
- 免疫原:
Full length fusion protein
- 形态:
liquid
- 保存条件:
Store at -20˚C
- 克隆性:
Polyclonal
- 适应物种:
Human
- 保质期:
12 months
- 抗原来源:
Rabbit
- 供应商:
南京赛戈巍生物科技有限公司
- 宿主:
Rabbit
- 应用范围:
WB IHC
- 靶点:
Uniprot:Q9UBE0
- 抗体英文名:
SAE1 Antibody
- 规格:
50ul/100ul
别名:AOS1; SUA1; UBLE1A; HSPC140
配方:Rabbit IgG in pH7.3 PBS, 0.05% NaN3, 50% Glycerol.
应用详情:Western blotting: 1:500-1:2000
Immunohistochemistry: 1:15-1:50
图片:
配方:Rabbit IgG in pH7.3 PBS, 0.05% NaN3, 50% Glycerol.
应用详情:Western blotting: 1:500-1:2000
Immunohistochemistry: 1:15-1:50
图片:
![SAE1 Antibody[36160]](https://img1.dxycdn.com/p/s14/2025/0922/588/4625704668963799691.jpg)
Gel: 15%SDS-PAGE
Lysates (from left to right): 293T and A431 cell
Amount of lysate: 40ug per lane
Primary antibody: 1/400 dilution
Secondary antibody dilution: 1/8000
Exposure time: 30 seconds
,
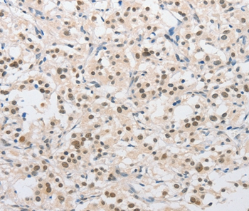
![SAE1 Antibody[36160]](https://img1.dxycdn.com/p/s14/2025/0922/675/6507119549963799691.jpg)
Immunohistochemical analysis of paraffin-embedded Human thyroid cancer tissue using #36160 at dilution 1/15.
风险提示:丁香通仅作为第三方平台,为商家信息发布提供平台空间。用户咨询产品时请注意保护个人信息及财产安全,合理判断,谨慎选购商品,商家和用户对交易行为负责。对于医疗器械类产品,请先查证核实企业经营资质和医疗器械产品注册证情况。
技术资料暂无技术资料 索取技术资料
SAE1 Antibody[36160]
询价


![SAE1 Antibody[36160]](https://img1.dxycdn.com/p/s14/2025/0922/359/6146153295428599691.jpg)


![RbAP48 Rabbit mAb[49740]](https://img1.dxycdn.com/p/s14/2025/0923/278/4431488150116040791.jpg!wh200)

![Proteasome subunit beta type-7 Polyclonal Antibody[42249]](https://img1.dxycdn.com/p/s14/2025/0922/568/0046652811090600791.jpg!wh200)
