相关产品推荐更多 >
万千商家帮你免费找货
0 人在求购买到急需产品
- 详细信息
- 文献和实验
- 技术资料
- 免疫原:
Fusion protein corresponding to residues near the C terminal of human toll-like receptor 2
- 形态:
liquid
- 保存条件:
Store at -20˚C
- 克隆性:
Polyclonal
- 适应物种:
Human
- 保质期:
12 months
- 抗原来源:
Rabbit
- 供应商:
南京赛戈巍生物科技有限公司
- 宿主:
Rabbit
- 应用范围:
IHC
- 靶点:
Uniprot:O60603
- 抗体英文名:
TLR2 Antibody
- 规格:
50ul/100ul
配方:Rabbit IgG in pH7.3 PBS, 0.05% NaN3, 50% Glycerol.
应用详情:
Immunohistochemistry: 1:25-1:100
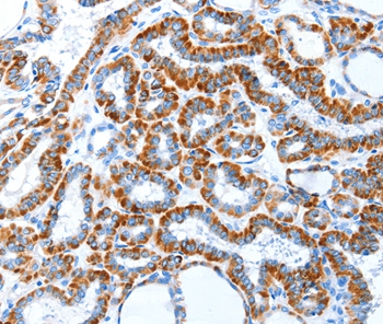
图片:

Immunohistochemical analysis of paraffin-embedded Human thyroid cancer tissue using #35576 at dilution 1/30.
风险提示:丁香通仅作为第三方平台,为商家信息发布提供平台空间。用户咨询产品时请注意保护个人信息及财产安全,合理判断,谨慎选购商品,商家和用户对交易行为负责。对于医疗器械类产品,请先查证核实企业经营资质和医疗器械产品注册证情况。
文献和实验人toll 样受体 2(TLR2) 酶联免疫 分析 试剂 盒使用说明书 本试剂仅供研究使用 目的:本试剂盒用于测定人血清,细胞上清及相关液体样本中 toll样受体2(TLR2) 的含量。 实验原理 : 本试剂盒应用双抗体夹心法测定 标本 中 人 toll样受体2(TLR2) 水平。用纯化的 人 toll样受体2(TLR2) 抗体包被微孔板,制成固相抗体,往包被单抗的微孔中依次加入 toll样受体2(TLR2) ,再与HRP
小鼠toll 样受体 2(TLR2) 酶联免疫 分析 试剂 盒使用说明书 本试剂仅供研究使用 目的:本试剂盒用于测定小鼠血清,细胞上清及相关液体样本中 toll样受体2(TLR2) 的含量。 实验原理 : 本试剂盒应用双抗体夹心法测定 标本 中 小鼠 toll样受体2(TLR2) 水平。用纯化的 小鼠 toll样受体2(TLR2) 抗体包被微孔板,制成固相抗体,往包被单抗的微孔中依次加入 toll样受体2(TLR2) ,再与HRP 标记
Generation of Antibody Molecules Through Antibody Engineering
been overcome to a large extent using genetic-engineering techniques to produce chimeric mouse/human and completely human antibodies. Such an approach is particularly suitable because of the domain structure of the antibody molecule ( 2 ), where functional
技术资料暂无技术资料 索取技术资料





![RASSF4 Antibody[40071]](https://img1.dxycdn.com/p/s14/2025/0922/568/0046652811090600791.jpg!wh200)
![HSC 70 Polyclonal Conjugated Antibody[C41036]](https://img1.dxycdn.com/p/s14/2025/0923/278/4431488150116040791.jpg!wh200)
![DPY30 Antibody[47267]](https://img1.dxycdn.com/p/s14/2025/0923/496/0462304380155040791.jpg!wh200)


