相关产品推荐更多 >
万千商家帮你免费找货
0 人在求购买到急需产品
- 详细信息
- 技术资料
- 免疫原:
A synthetic peptide of human CD63
- 形态:
liquid
- 保存条件:
Store at -20˚C
- 克隆性:
Monoclonal antibody
- 适应物种:
Human
- 保质期:
12 months
- 抗原来源:
Recombinant Rabbit
- 供应商:
南京赛戈巍生物科技有限公司
- 宿主:
Recombinant Rabbit
- 应用范围:
WB IHC
- 靶点:
Uniprot:P08962
- 抗体英文名:
CD63 Rabbit mAb
- 规格:
50ul/100ul
别名:MLA1; ME491; LAMP-3; OMA81H; TSPAN30
计算分子量:Calculated MW: 26 kDa; Observed MW: 26-65 kDa
配方:50nM Tris-Glycine(pH 7.4), 0.15M NaCl, 40% Glycerol, 0.01% Sodium azide and 0.05% BSA
应用详情:WB: 1/1000; IHC: 1/200
图片:
计算分子量:Calculated MW: 26 kDa; Observed MW: 26-65 kDa
配方:50nM Tris-Glycine(pH 7.4), 0.15M NaCl, 40% Glycerol, 0.01% Sodium azide and 0.05% BSA
应用详情:WB: 1/1000; IHC: 1/200
图片:
![CD63 Rabbit mAb[52208]](https://img1.dxycdn.com/p/s14/2025/0922/320/8020570516467399691.jpg)
Western blot detection of CD63 in Hela cell lysates using CD63 Rabbit mAb(1:1000 diluted).Predicted band size:26kDa.Observed band size: 26-65kDa.
,
![CD63 Rabbit mAb[52208]](https://img1.dxycdn.com/p/s14/2025/0922/663/2910619866567399691.jpg)
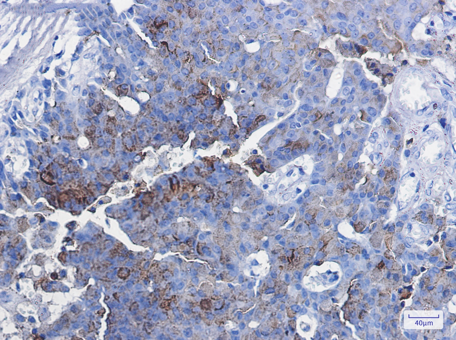
Immunohistochemistry of CD63 in paraffin-embedded Human breast cancer tissue using CD63 Rabbit mAb at dilution 1/100
风险提示:丁香通仅作为第三方平台,为商家信息发布提供平台空间。用户咨询产品时请注意保护个人信息及财产安全,合理判断,谨慎选购商品,商家和用户对交易行为负责。对于医疗器械类产品,请先查证核实企业经营资质和医疗器械产品注册证情况。
技术资料暂无技术资料 索取技术资料
CD63 Rabbit mAb[52208]
询价


![CD63 Rabbit mAb[52208]](https://img1.dxycdn.com/p/s14/2025/0922/498/0460884283108299691.jpg)


![ZFAND5 Antibody[42871]](https://img1.dxycdn.com/p/s14/2025/0922/568/0046652811090600791.jpg!wh200)
![Cdx1 Rabbit mAb[49939]](https://img1.dxycdn.com/p/s14/2025/0923/278/4431488150116040791.jpg!wh200)
![MADD Antibody[33997]](https://img1.dxycdn.com/p/s14/2025/0922/359/6146153295428599691.jpg!wh200)
![KHK-A (Phospho-Ser80) Antibody[SAB648]](https://img1.dxycdn.com/p/s14/2025/0922/498/0460884283108299691.jpg!wh200)
