相关产品推荐更多 >
万千商家帮你免费找货
0 人在求购买到急需产品
- 详细信息
- 技术资料
- 免疫原:
Recombinant protein of human Cytokeratin 16
- 形态:
liquid
- 保存条件:
Store at -20˚C
- 克隆性:
Monoclonal antibody
- 适应物种:
Human
- 保质期:
12 months
- 抗原来源:
Recombinant Rabbit
- 供应商:
南京赛戈巍生物科技有限公司
- 宿主:
Recombinant Rabbit
- 应用范围:
WB IHC
- 靶点:
Uniprot:P08779
- 抗体英文名:
Cytokeratin 16 Rabbit mAb
- 规格:
50ul/100ul
别名:Cytokeratin16, Keratin type I cytoskeletal 16, KRT 16, Keratin16
计算分子量:Calculated MW: 51 kDa; Observed MW: 51 kDa
配方:50nM Tris-Glycine(pH 7.4), 0.15M NaCl, 40% Glycerol, 0.01% Sodium azide and 0.05% BSA
应用详情:WB: 1/2000; IHC: 1/50
图片:
计算分子量:Calculated MW: 51 kDa; Observed MW: 51 kDa
配方:50nM Tris-Glycine(pH 7.4), 0.15M NaCl, 40% Glycerol, 0.01% Sodium azide and 0.05% BSA
应用详情:WB: 1/2000; IHC: 1/50
图片:

Western blot detection of Cytokeratin 16 in Hela cell lysates using Cytokeratin 16 Rabbit mAb(1:1000 diluted).Predicted band size:51kDa.Observed band size:51kDa.
,

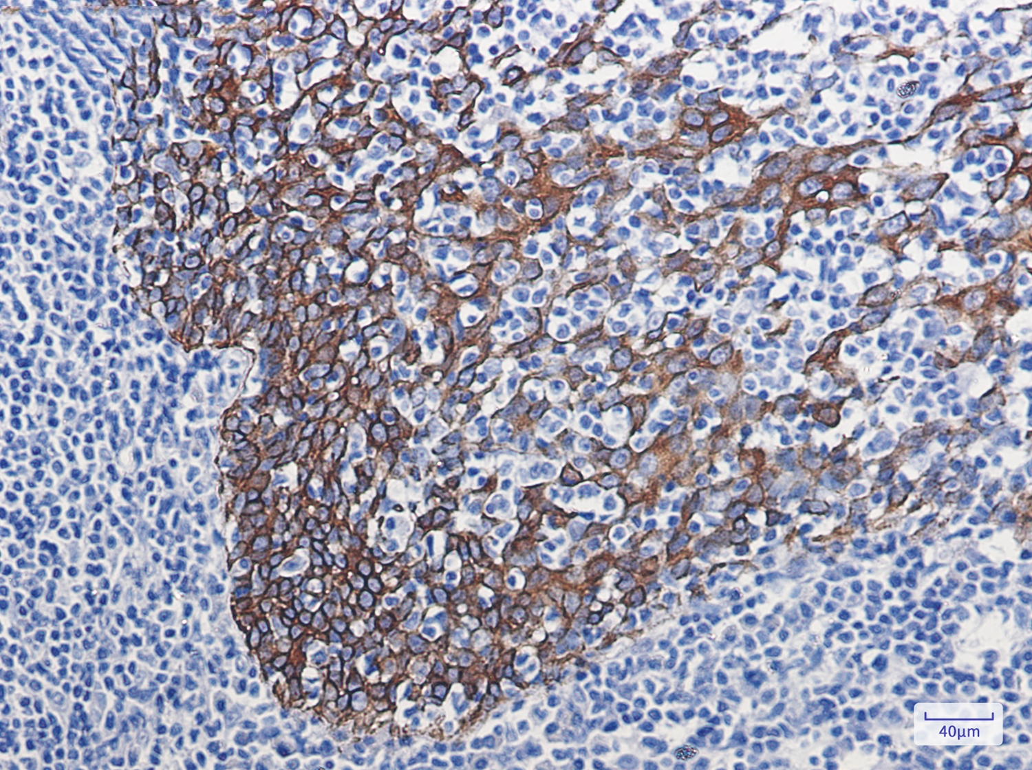
Immunohistochemistry of Cytokeratin 16 in paraffin-embedded Human tonsil using Cytokeratin 16 Rabbit mAb at dilution 1/100
风险提示:丁香通仅作为第三方平台,为商家信息发布提供平台空间。用户咨询产品时请注意保护个人信息及财产安全,合理判断,谨慎选购商品,商家和用户对交易行为负责。对于医疗器械类产品,请先查证核实企业经营资质和医疗器械产品注册证情况。
技术资料暂无技术资料 索取技术资料
Cytokeratin 16 Rabbit mAb[52060]
询价


![Cytokeratin 16 Rabbit mAb[52060]](https://img1.dxycdn.com/p/s14/2025/0922/498/0460884283108299691.jpg)


![PAQR3 (Phospho-Ser8) Antibody[SAB524P]](https://img1.dxycdn.com/p/s14/2025/0922/498/0460884283108299691.jpg!wh200)
![BTN3A1/2/3 Polyclonal Conjugated Antibody[C46829]](https://img1.dxycdn.com/p/s14/2025/0923/305/2150219664296040791.jpg!wh200)
![CCL25 Antibody[42700]](https://img1.dxycdn.com/p/s14/2025/0922/568/0046652811090600791.jpg!wh200)
![MED15 Conjugated Antibody[C40263]](https://img1.dxycdn.com/p/s14/2025/0923/278/4431488150116040791.jpg!wh200)
