相关产品推荐更多 >
万千商家帮你免费找货
0 人在求购买到急需产品
- 详细信息
- 技术资料
- 免疫原:
Recombinant fusion protein of human ZAK (NP_598407.1).
- 形态:
liquid
- 保存条件:
Store at -20˚C
- 克隆性:
Polyclonal
- 适应物种:
Human;Mouse;Rat
- 保质期:
12 months
- 抗原来源:
Rabbit
- 供应商:
南京赛戈巍生物科技有限公司
- 宿主:
Rabbit
- 应用范围:
WB,IHC,IF
- 靶点:
Uniprot:Q9NYL2
- 抗体英文名:
ZAK Rabbit Polyclonal Antibody
- 规格:
50ul/100ul
别名:MAP3K20;AZK;MLK7;MLT;MLTK;MLTKalpha;MLTKbeta;MRK;SFMMP;ZAK;mlklak;pk
计算分子量:35kDa/51kDa/91kDa
配方:Buffer: PBS with 0.02% sodium azide,50% glycerol,pH7.3.
应用详情:WB 1:500 - 1:2000
IHC 1:50 - 1:200
IF 1:20 - 1:50
图片:
计算分子量:35kDa/51kDa/91kDa
配方:Buffer: PBS with 0.02% sodium azide,50% glycerol,pH7.3.
应用详情:WB 1:500 - 1:2000
IHC 1:50 - 1:200
IF 1:20 - 1:50
图片:

Western blot analysis of extracts of various cell lines, using ZAK at 1:1000 dilution.
,

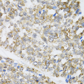
Immunohistochemistry of paraffin-embedded human colon carcinoma using ZAK at dilution of 1:100 (40x lens).
,

Immunohistochemistry of paraffin-embedded human esophageal cancer using ZAK at dilution of 1:100 (40x lens).
,

Immunofluorescence analysis of A549 cells using ZAK . Blue: DAPI for nuclear staining.
风险提示:丁香通仅作为第三方平台,为商家信息发布提供平台空间。用户咨询产品时请注意保护个人信息及财产安全,合理判断,谨慎选购商品,商家和用户对交易行为负责。对于医疗器械类产品,请先查证核实企业经营资质和医疗器械产品注册证情况。
技术资料暂无技术资料 索取技术资料
ZAK Rabbit Polyclonal Antibody[55193]
询价


![ZAK Rabbit Polyclonal Antibody[55193]](https://img1.dxycdn.com/p/s14/2025/0922/498/0460884283108299691.jpg)


![KCTD17 Antibody[39739]](https://img1.dxycdn.com/p/s14/2025/0922/359/6146153295428599691.jpg!wh200)
![Rabbit Anti-Pig IgG (H&L) - AF555[L35296]](https://img1.dxycdn.com/p/s14/2025/0922/498/0460884283108299691.jpg!wh200)
![Net (Phospho-Ser357) Polyclonal Antibody[12364]](https://img1.dxycdn.com/p/s14/2025/0922/568/0046652811090600791.jpg!wh200)
![Osteopontin Rabbit mAb[56057]](https://img1.dxycdn.com/p/s14/2025/0922/632/2321321568067599691.jpg!wh200)
