相关产品推荐更多 >
万千商家帮你免费找货
0 人在求购买到急需产品
- 详细信息
- 技术资料
- 免疫原:
Recombinant fusion protein of human GPC3 (NP_004475.1).
- 形态:
liquid
- 保存条件:
Store at -20˚C
- 克隆性:
Polyclonal
- 适应物种:
Human;Mouse;Rat
- 保质期:
12 months
- 抗原来源:
Rabbit
- 供应商:
南京赛戈巍生物科技有限公司
- 宿主:
Rabbit
- 应用范围:
WB,IF
- 靶点:
Uniprot:P51654
- 抗体英文名:
GPC3 Rabbit Polyclonal Antibody
- 规格:
50ul/100ul
别名:GPC3;DGSX;GTR2-2;MXR7;OCI-5;SDYS;SGB;SGBS;SGBS1;glypican-3
计算分子量:59kDa/65kDa/68kDa
配方:Buffer: PBS with 0.02% sodium azide,50% glycerol,pH7.3.
应用详情:WB 1:500 - 1:2000
IF 1:50 - 1:200
图片:
计算分子量:59kDa/65kDa/68kDa
配方:Buffer: PBS with 0.02% sodium azide,50% glycerol,pH7.3.
应用详情:WB 1:500 - 1:2000
IF 1:50 - 1:200
图片:

Immunofluorescence analysis of NIH/3T3 cells using GPC3 at dilution of 1:100. Blue: DAPI for nuclear staining.
,

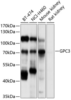
Western blot analysis of extracts of various cell lines, using GPC3 at 1:1000 dilution.
风险提示:丁香通仅作为第三方平台,为商家信息发布提供平台空间。用户咨询产品时请注意保护个人信息及财产安全,合理判断,谨慎选购商品,商家和用户对交易行为负责。对于医疗器械类产品,请先查证核实企业经营资质和医疗器械产品注册证情况。
技术资料暂无技术资料 索取技术资料
GPC3 Rabbit Polyclonal Antibody[53337]
询价


![GPC3 Rabbit Polyclonal Antibody[53337]](https://img1.dxycdn.com/p/s14/2025/0922/498/0460884283108299691.jpg)



![Ribosomal Protein L12 Polyclonal Antibody[41400]](https://img1.dxycdn.com/p/s14/2025/0922/568/0046652811090600791.jpg!wh200)
![GNL3 Mouse mAb[63680]](https://img1.dxycdn.com/p/s14/2025/0922/632/2321321568067599691.jpg!wh200)
![ZC3H7A Antibody[47283]](https://img1.dxycdn.com/p/s14/2025/0923/496/0462304380155040791.jpg!wh200)
