相关产品推荐更多 >
万千商家帮你免费找货
0 人在求购买到急需产品
- 详细信息
- 技术资料
- 免疫原:
Recombinant fusion protein of human PTP4A2 (NP_536316.1).
- 形态:
liquid
- 保存条件:
Store at -20˚C
- 克隆性:
Polyclonal
- 适应物种:
Human;Mouse;Rat
- 保质期:
12 months
- 抗原来源:
Rabbit
- 供应商:
南京赛戈巍生物科技有限公司
- 宿主:
Rabbit
- 应用范围:
WB,IHC,IF
- 靶点:
Uniprot:Q12974
- 抗体英文名:
PTP4A2 Polyclonal Antibody
- 规格:
50ul/100ul
计算分子量:9kDa/15kDa/16kDa/19kDa
配方:Supplied at 1.0mg/mL in phosphate buffered saline (without Mg2+ and Ca2+), pH 7.4, 150mM NaCl, 0.02% sodium azide and 105% glycerol.
应用详情:WB 1:200 - 1:2000
IHC 1:50 - 1:200
IF 1:50 - 1:200
图片:

Western blot analysis of extracts of various cell lines, using PTP4A2 antibody at 1:1000 dilution.
,

Immunofluorescence analysis of C6 cells using PTP4A2 antibody at dilution of 1:100. Blue: DAPI for nuclear staining.
,

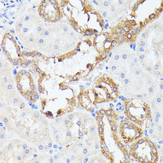
Immunohistochemistry of paraffin-embedded rat kidney using PTP4A2 antibody at dilution of 1:100 .
,

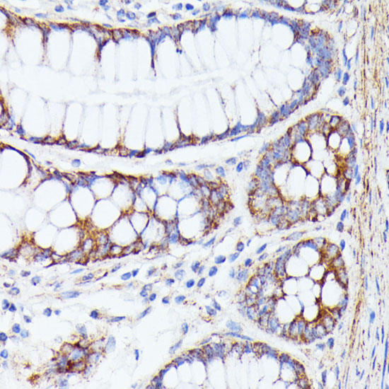
Immunohistochemistry of paraffin-embedded human colon using PTP4A2 antibody at dilution of 1:100 .
,

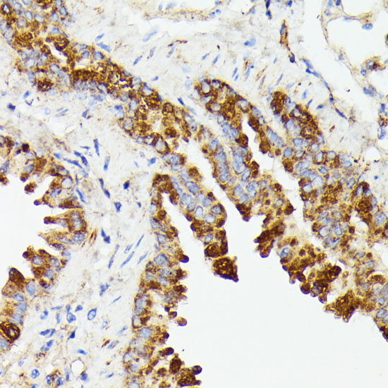
Immunohistochemistry of paraffin-embedded mouse lung using PTP4A2 antibody at dilution of 1:100 .
风险提示:丁香通仅作为第三方平台,为商家信息发布提供平台空间。用户咨询产品时请注意保护个人信息及财产安全,合理判断,谨慎选购商品,商家和用户对交易行为负责。对于医疗器械类产品,请先查证核实企业经营资质和医疗器械产品注册证情况。
技术资料暂无技术资料 索取技术资料


![PTP4A2 Polyclonal Antibody[29209]](https://img1.dxycdn.com/p/s14/2025/0922/498/0460884283108299691.jpg)


![HMGN2 Conjugated Antibody[C56813]](https://img1.dxycdn.com/p/s14/2025/0922/632/2321321568067599691.jpg!wh200)
![GADD45B Conjugated Antibody[C36492]](https://img1.dxycdn.com/p/s14/2025/0923/278/4431488150116040791.jpg!wh200)
![KANK2 Antibody[34424]](https://img1.dxycdn.com/p/s14/2025/0922/359/6146153295428599691.jpg!wh200)
![SPOP Rabbit mAb[52592]](https://img1.dxycdn.com/p/s14/2025/0922/498/0460884283108299691.jpg!wh200)
