相关产品推荐更多 >
万千商家帮你免费找货
0 人在求购买到急需产品
- 详细信息
- 技术资料
- 免疫原:
Recombinant fusion protein of human USP7 (NP_003461.2).
- 形态:
liquid
- 保存条件:
Store at -20˚C
- 克隆性:
Polyclonal
- 适应物种:
Human;Mouse;Rat
- 保质期:
12 months
- 抗原来源:
Rabbit
- 供应商:
南京赛戈巍生物科技有限公司
- 宿主:
Rabbit
- 应用范围:
WB,IHC,IF
- 靶点:
Uniprot:Q93009
- 抗体英文名:
USP7 Polyclonal Antibody
- 规格:
50ul/100ul
别名:USP7;HAUSP;TEF1
计算分子量:126kDa/128kDa
配方:Supplied at 1.0mg/mL in phosphate buffered saline (without Mg2+ and Ca2+), pH 7.4, 150mM NaCl, 0.02% sodium azide and 62% glycerol.
应用详情:WB 1:500 - 1:2000
IHC 1:50 - 1:100
IF 1:50 - 1:100
图片:
计算分子量:126kDa/128kDa
配方:Supplied at 1.0mg/mL in phosphate buffered saline (without Mg2+ and Ca2+), pH 7.4, 150mM NaCl, 0.02% sodium azide and 62% glycerol.
应用详情:WB 1:500 - 1:2000
IHC 1:50 - 1:100
IF 1:50 - 1:100
图片:

Western blot analysis of extracts of various cell lines, using USP7 antibody at 1:1000 dilution.
,

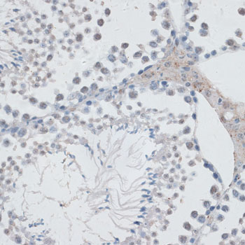
Immunohistochemistry of paraffin-embedded rat testis using USP7 antibody at dilution of 1:100 .
,

Immunohistochemistry of paraffin-embedded mouse testis using USP7 antibody at dilution of 1:100 .
,

Immunohistochemistry of paraffin-embedded mouse brain using USP7 antibody at dilution of 1:100 .
风险提示:丁香通仅作为第三方平台,为商家信息发布提供平台空间。用户咨询产品时请注意保护个人信息及财产安全,合理判断,谨慎选购商品,商家和用户对交易行为负责。对于医疗器械类产品,请先查证核实企业经营资质和医疗器械产品注册证情况。
技术资料暂无技术资料 索取技术资料
USP7 Polyclonal Antibody[29169]
询价


![USP7 Polyclonal Antibody[29169]](https://img1.dxycdn.com/p/s14/2025/0922/498/0460884283108299691.jpg)


![TAF10 Conjugated Antibody[C40234]](https://img1.dxycdn.com/p/s14/2025/0923/278/4431488150116040791.jpg!wh200)
![SIX4 Antibody[62193]](https://img1.dxycdn.com/p/s14/2025/0922/632/2321321568067599691.jpg!wh200)
![BSPRY Antibody[43996]](https://img1.dxycdn.com/p/s14/2025/0922/568/0046652811090600791.jpg!wh200)
![KRT7 Rabbit Polyclonal Antibody[53297]](https://img1.dxycdn.com/p/s14/2025/0922/498/0460884283108299691.jpg!wh200)
