相关产品推荐更多 >
万千商家帮你免费找货
0 人在求购买到急需产品
- 详细信息
- 技术资料
- 免疫原:
Purified recombinant fragment of human MAGEA4 (AA: 1-225) expressed in E. Coli.
- 形态:
liquid
- 保存条件:
Store at -20˚C
- 克隆性:
Monoclonal
- 适应物种:
Human;Mouse;Rat
- 保质期:
12 months
- 抗原来源:
Mouse
- 供应商:
南京赛戈巍生物科技有限公司
- 宿主:
Mouse
- 应用范围:
WB;IHC;FC
- 靶点:
Uniprot:P43358
- 抗体英文名:
MAGEA4 Mouse mAb
- 规格:
50ul/100ul
计算分子量:34.8kDa
配方:Purified antibody in PBS with 0.05% sodium azide
应用详情:WB:1/500 - 1/2000
IHC:1/200 - 1/1000
FC:1/200 - 1/400
ELISA:1/10000
图片:
![MAGEA4 Mouse mAb[63896]](https://img1.dxycdn.com/p/s14/2025/0922/975/0008467227816699691.jpg)
Black line: Control Antigen (100 ng);Purple line: Antigen (10ng); Blue line: Antigen (50 ng); Red line:Antigen (100 ng)
,
![MAGEA4 Mouse mAb[63896]](https://img1.dxycdn.com/p/s14/2025/0922/351/2190320427816699691.jpg)
Western blot analysis using MAGEA4 mouse mAb against Mouse liver (1), Rat liver (2), and Rat kindey (3) cell lysate.
,
![MAGEA4 Mouse mAb[63896]](https://img1.dxycdn.com/p/s14/2025/0922/448/0401959627816699691.jpg)
Flow cytometric analysis of K562 cells using MAGEA4 mouse mAb (green) and negative control (red).
,
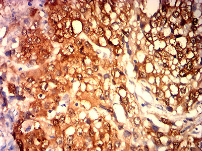
![MAGEA4 Mouse mAb[63896]](https://img1.dxycdn.com/p/s14/2025/0922/781/2952078590916699691.jpg)
Immunohistochemical analysis of paraffin-embedded human liver cancer tissues using MAGEA4 mouse mAb with DAB staining.
风险提示:丁香通仅作为第三方平台,为商家信息发布提供平台空间。用户咨询产品时请注意保护个人信息及财产安全,合理判断,谨慎选购商品,商家和用户对交易行为负责。对于医疗器械类产品,请先查证核实企业经营资质和医疗器械产品注册证情况。
技术资料暂无技术资料 索取技术资料


![MAGEA4 Mouse mAb[63896]](https://img1.dxycdn.com/p/s14/2025/0922/632/2321321568067599691.jpg)


![LHCGR Mouse mAb[63864]](https://img1.dxycdn.com/p/s14/2025/0922/632/2321321568067599691.jpg!wh200)
![USP11 Rabbit Polyclonal Antibody[54648]](https://img1.dxycdn.com/p/s14/2025/0922/498/0460884283108299691.jpg!wh200)
![ATG2A Antibody[46319]](https://img1.dxycdn.com/p/s14/2025/0923/496/0462304380155040791.jpg!wh200)
![Annexin I Polyclonal Antibody[40591]](https://img1.dxycdn.com/p/s14/2025/0922/568/0046652811090600791.jpg!wh200)
