相关产品推荐更多 >
万千商家帮你免费找货
0 人在求购买到急需产品
- 详细信息
- 技术资料
- 免疫原:
Purified recombinant fragment of human KIR3DL1 (AA: extra 22-340) expressed in Hek293 cells.
- 形态:
liquid
- 保存条件:
Store at -20˚C
- 克隆性:
Monoclonal
- 适应物种:
Human,Rat,Monkey
- 保质期:
12 months
- 抗原来源:
Mouse
- 供应商:
南京赛戈巍生物科技有限公司
- 宿主:
Mouse
- 应用范围:
WB;IHC
- 靶点:
Uniprot:P43629
- 抗体英文名:
KIR3DL1 Mouse mAb
- 规格:
50ul/100ul
计算分子量:49kDa
配方:Purified antibody in PBS with 0.05% sodium azide
应用详情:WB:1/500 - 1/2000
IHC:1/200 - 1/1000
ELISA:1/10000
图片:
![KIR3DL1 Mouse mAb[63823]](https://img1.dxycdn.com/p/s14/2025/0922/488/6524285470085699691.jpg)
Black line: Control Antigen (100 ng);Purple line: Antigen (10ng); Blue line: Antigen (50 ng); Red line:Antigen (100 ng)
,
![KIR3DL1 Mouse mAb[63823]](https://img1.dxycdn.com/p/s14/2025/0922/128/8214646170085699691.jpg)
Western blot analysis using KIR3DL1 mouse mAb against A431 (1), Raji (2), SPC-A-1 (3), K562 (4), HEK293 (5), U937 (6), C6 (7), and COS7 (8) cell lysate.
,
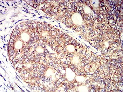
![KIR3DL1 Mouse mAb[63823]](https://img1.dxycdn.com/p/s14/2025/0922/968/6961606932085699691.jpg)
Immunohistochemical analysis of paraffin-embedded human cervical cancer tissues using KIR3DL1 mouse mAb with DAB staining.
风险提示:丁香通仅作为第三方平台,为商家信息发布提供平台空间。用户咨询产品时请注意保护个人信息及财产安全,合理判断,谨慎选购商品,商家和用户对交易行为负责。对于医疗器械类产品,请先查证核实企业经营资质和医疗器械产品注册证情况。
技术资料暂无技术资料 索取技术资料


![KIR3DL1 Mouse mAb[63823]](https://img1.dxycdn.com/p/s14/2025/0922/632/2321321568067599691.jpg)


![STX8 Antibody[40127]](https://img1.dxycdn.com/p/s14/2025/0922/568/0046652811090600791.jpg!wh200)
![DHRS2 antibody[38924]](https://img1.dxycdn.com/p/s14/2025/0922/359/6146153295428599691.jpg!wh200)

![NANOG Mouse mAb[63982]](https://img1.dxycdn.com/p/s14/2025/0922/632/2321321568067599691.jpg!wh200)
![NADPH oxidase 4 Conjugated Antibody[C48244]](https://img1.dxycdn.com/p/s14/2025/0923/305/2150219664296040791.jpg!wh200)
