相关产品推荐更多 >
万千商家帮你免费找货
0 人在求购买到急需产品
- 详细信息
- 技术资料
- 免疫原:
Purified recombinant fragment of human HSP70 (AA: 642-841) expressed in mammalian.
- 形态:
liquid
- 保存条件:
Store at -20˚C
- 克隆性:
Monoclonal
- 适应物种:
Human;Monkey
- 保质期:
12 months
- 抗原来源:
Mouse
- 供应商:
南京赛戈巍生物科技有限公司
- 宿主:
Mouse
- 应用范围:
WB;IHC;IF;FC
- 靶点:
Uniprot:P34932
- 抗体英文名:
HSP70 Mouse mAb
- 规格:
50ul/100ul
计算分子量:94.3kDa
配方:Purified antibody in PBS with 0.05% sodium azide
应用详情:WB:1/500 - 1/2000
IHC:1/200 - 1/1000
ICC:1/200 - 1/1000
FC:1/200 - 1/400
ELISA:1/10000
图片:
![HSP70 Mouse mAb[63751]](https://img1.dxycdn.com/p/s14/2025/0922/234/2979655891745699691.jpg)
Black line: Control Antigen (100 ng);Purple line: Antigen (10ng); Blue line: Antigen (50 ng); Red line:Antigen (100 ng)
,
![HSP70 Mouse mAb[63751]](https://img1.dxycdn.com/p/s14/2025/0922/756/2705519068645699691.jpg)
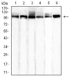
Western blot analysis using HSP70 mouse mAb against Hela (1), HepG2 (2),Hek293 (3),COS-7 (4),A549 (5) and Jurkat (6) cell lysate.
,
![HSP70 Mouse mAb[63751]](https://img1.dxycdn.com/p/s14/2025/0922/841/8279065663745699691.jpg)
Immunofluorescence analysis of Hela cells using HSP70 mouse mAb (green). Blue: DRAQ5 fluorescent DNA dye. Red: Actin filaments have been labeled with Alexa Fluor- 555 phalloidin. Secondary antibody from Fisher (Cat#: 35503)
,
![HSP70 Mouse mAb[63751]](https://img1.dxycdn.com/p/s14/2025/0922/839/2728517279645699691.jpg)
Flow cytometric analysis of Jurkat cells using HSP70 mouse mAb (green) and negative control (red).
,
![HSP70 Mouse mAb[63751]](https://img1.dxycdn.com/p/s14/2025/0922/585/6125689698645699691.jpg)
Flow cytometric analysis of K562 cells using HSP70 mouse mAb (green) and negative control (red).
,
![HSP70 Mouse mAb[63751]](https://img1.dxycdn.com/p/s14/2025/0922/923/6906304488645699691.jpg)
Flow cytometric analysis of Raji cells using HSP70 mouse mAb (green) and negative control (red).
,
![HSP70 Mouse mAb[63751]](https://img1.dxycdn.com/p/s14/2025/0922/574/4418329132745699691.jpg)
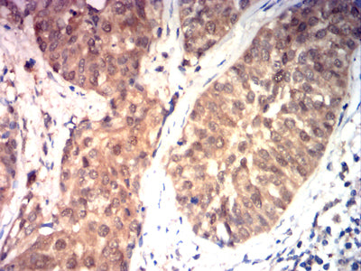
Immunohistochemical analysis of paraffin-embedded human bladder cancer tissues using HSP70 mouse mAb with DAB staining.
,
![HSP70 Mouse mAb[63751]](https://img1.dxycdn.com/p/s14/2025/0922/743/0673379723745699691.jpg)
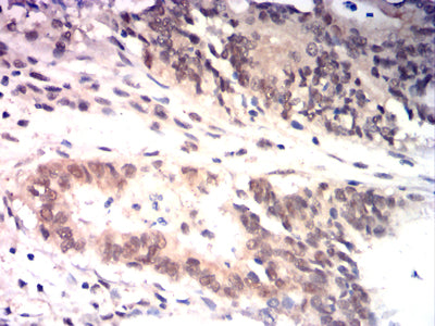
Immunohistochemical analysis of paraffin-embedded human rectal cancer tissues using HSP70 mouse mAb with DAB staining.
风险提示:丁香通仅作为第三方平台,为商家信息发布提供平台空间。用户咨询产品时请注意保护个人信息及财产安全,合理判断,谨慎选购商品,商家和用户对交易行为负责。对于医疗器械类产品,请先查证核实企业经营资质和医疗器械产品注册证情况。
技术资料暂无技术资料 索取技术资料


![HSP70 Mouse mAb[63751]](https://img1.dxycdn.com/p/s14/2025/0922/632/2321321568067599691.jpg)


![ROR alpha Antibody[35333]](https://img1.dxycdn.com/p/s14/2025/0922/359/6146153295428599691.jpg!wh200)
![PAXIP1 Rabbit Polyclonal Antibody[54417]](https://img1.dxycdn.com/p/s14/2025/0922/498/0460884283108299691.jpg!wh200)
![LAG3 Polyclonal Conjugated Antibody[C41851]](https://img1.dxycdn.com/p/s14/2025/0923/278/4431488150116040791.jpg!wh200)
![Beta-2-microglobulin Monoclonal Antibody[42031]](https://img1.dxycdn.com/p/s14/2025/0922/568/0046652811090600791.jpg!wh200)
