相关产品推荐更多 >
万千商家帮你免费找货
0 人在求购买到急需产品
- 详细信息
- 技术资料
- 形态:
liquid
- 保存条件:
Store at -20˚C
- 克隆性:
Monoclonal
- 适应物种:
Human
- 保质期:
12 months
- 抗原来源:
Mouse
- 供应商:
南京赛戈巍生物科技有限公司
- 宿主:
Mouse
- 应用范围:
IHC
- 靶点:
Uniprot:P06731
- 抗体英文名:
CEACAM5 Mouse mAb
- 规格:
50ul/100ul
别名:CEA;CD66e
计算分子量:76.8kDa
配方:Purified antibody in PBS with 0.05% sodium azide
应用详情:IHC:1/200-1/400
图片:
计算分子量:76.8kDa
配方:Purified antibody in PBS with 0.05% sodium azide
应用详情:IHC:1/200-1/400
图片:
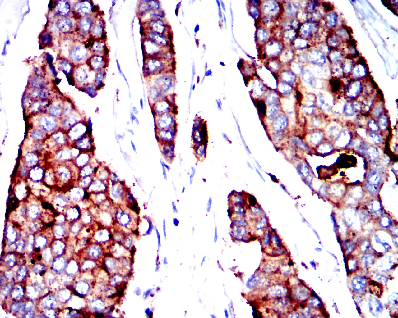
![CEACAM5 Mouse mAb[63458]](https://img1.dxycdn.com/p/s14/2025/0922/037/0464245847114699691.jpg)
Immunohistochemical analysis of paraffin-embedded human colon cancer tissues using CEACAM5 mouse mAb with DAB staining.
,
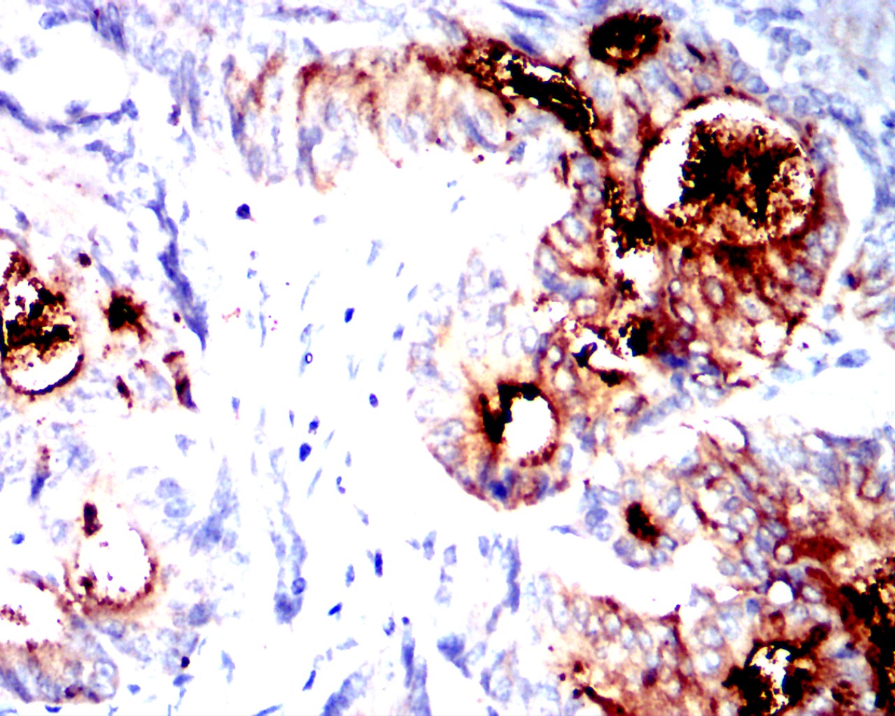
![CEACAM5 Mouse mAb[63458]](https://img1.dxycdn.com/p/s14/2025/0922/538/2152530897114699691.jpg)
Immunohistochemical analysis of paraffin-embedded human breast cancer tissues using CEACAM5 mouse mAb with DAB staining.
风险提示:丁香通仅作为第三方平台,为商家信息发布提供平台空间。用户咨询产品时请注意保护个人信息及财产安全,合理判断,谨慎选购商品,商家和用户对交易行为负责。对于医疗器械类产品,请先查证核实企业经营资质和医疗器械产品注册证情况。
技术资料暂无技术资料 索取技术资料
CEACAM5 Mouse mAb[63458]
询价


![CEACAM5 Mouse mAb[63458]](https://img1.dxycdn.com/p/s14/2025/0922/632/2321321568067599691.jpg)


![MMP-1 Polyclonal Antibody[41152]](https://img1.dxycdn.com/p/s14/2025/0922/568/0046652811090600791.jpg!wh200)
![ASIC1 Antibody[46313]](https://img1.dxycdn.com/p/s14/2025/0923/496/0462304380155040791.jpg!wh200)
![SLC20A1 Rabbit Polyclonal Antibody[54830]](https://img1.dxycdn.com/p/s14/2025/0922/498/0460884283108299691.jpg!wh200)
