相关产品推荐更多 >
万千商家帮你免费找货
0 人在求购买到急需产品
- 详细信息
- 技术资料
- 免疫原:
Purified recombinant fragment of human BRAF (AA: 299-447) expressed in HEK293-6e.
- 形态:
liquid
- 保存条件:
Store at -20˚C
- 克隆性:
Monoclonal
- 适应物种:
Human;Mouse;Monkey
- 保质期:
12 months
- 抗原来源:
Mouse
- 供应商:
南京赛戈巍生物科技有限公司
- 宿主:
Mouse
- 应用范围:
WB;IHC;FC
- 靶点:
Uniprot:P15056
- 抗体英文名:
BRAF Mouse mAb
- 规格:
50ul/100ul
计算分子量:84.4kda
配方:Purified antibody in PBS with 0.05% sodium azide
应用详情:WB:1/500 - 1/2000
IHC:1/200 - 1/1000
FC:1/200 - 1/400
ELISA:1/10000
图片:
![BRAF Mouse mAb[63163]](https://img1.dxycdn.com/p/s14/2025/0922/375/4249135664672699691.jpg)
Black line: Control Antigen (100 ng);Purple line: Antigen (10ng); Blue line: Antigen (50 ng); Red line:Antigen (100 ng)
,
![BRAF Mouse mAb[63163]](https://img1.dxycdn.com/p/s14/2025/0922/071/0409971751672699691.jpg)
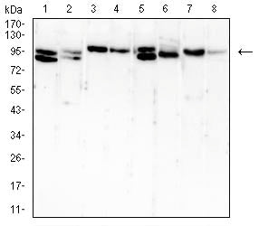
Western blot analysis using BRAF mouse mAb against Hela (1), HT-29 (2), MOLT4 (3), T47D (4), HePG2 (5), NIH/3T3 (6), PC-12 (7), and COS-7 (8) cell lysate.
,
![BRAF Mouse mAb[63163]](https://img1.dxycdn.com/p/s14/2025/0922/475/4249783402672699691.jpg)
Flow cytometric analysis of BEL-7402 cells using BRAF mouse mAb (green) and negative control (red).
,
![BRAF Mouse mAb[63163]](https://img1.dxycdn.com/p/s14/2025/0922/275/6505271592672699691.jpg)
Flow cytometric analysis of Hela cells using BRAF mouse mAb (green) and negative control (red).
,
![BRAF Mouse mAb[63163]](https://img1.dxycdn.com/p/s14/2025/0922/306/4891801362672699691.jpg)
Flow cytometric analysis of HepG2 cells using BRAF mouse mAb (green) and negative control (red).
,
![BRAF Mouse mAb[63163]](https://img1.dxycdn.com/p/s14/2025/0922/415/6589884897672699691.jpg)
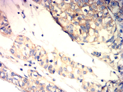
Immunohistochemical analysis of paraffin-embedded human bladder cancer tissues using BRAF mouse mAb with DAB staining.
,
![BRAF Mouse mAb[63163]](https://img1.dxycdn.com/p/s14/2025/0922/263/8028554397672699691.jpg)
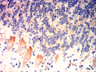
Immunohistochemical analysis of paraffin-embedded human cerebellar tissues using BRAF mouse mAb with DAB staining.
风险提示:丁香通仅作为第三方平台,为商家信息发布提供平台空间。用户咨询产品时请注意保护个人信息及财产安全,合理判断,谨慎选购商品,商家和用户对交易行为负责。对于医疗器械类产品,请先查证核实企业经营资质和医疗器械产品注册证情况。
技术资料暂无技术资料 索取技术资料


![BRAF Mouse mAb[63163]](https://img1.dxycdn.com/p/s14/2025/0922/632/2321321568067599691.jpg)


![CD230 Mouse mAb[63306]](https://img1.dxycdn.com/p/s14/2025/0922/632/2321321568067599691.jpg!wh200)
![HRG Conjugated Antibody[C37628]](https://img1.dxycdn.com/p/s14/2025/0923/278/4431488150116040791.jpg!wh200)
![CNNM2 Antibody[35245]](https://img1.dxycdn.com/p/s14/2025/0922/359/6146153295428599691.jpg!wh200)
![CTGF Rabbit Polyclonal Antibody[53248]](https://img1.dxycdn.com/p/s14/2025/0922/498/0460884283108299691.jpg!wh200)
