相关产品推荐更多 >
万千商家帮你免费找货
0 人在求购买到急需产品
- 详细信息
- 技术资料
- 免疫原:
Purified recombinant fragment of human BCL9L (AA: 606-751) expressed in E. Coli.
- 形态:
liquid
- 保存条件:
Store at -20˚C
- 克隆性:
Monoclonal
- 适应物种:
Human
- 保质期:
12 months
- 抗原来源:
Mouse
- 供应商:
南京赛戈巍生物科技有限公司
- 宿主:
Mouse
- 应用范围:
IHC
- 靶点:
Uniprot:Q86UU0
- 抗体英文名:
BCL9L Mouse mAb
- 规格:
50ul/100ul
别名:BCL9-2; DLNB11
计算分子量:157kDa
配方:Purified antibody in PBS with 0.05% sodium azide
应用详情:IHC:1/200 - 1/1000
ELISA:1/10000
图片:
计算分子量:157kDa
配方:Purified antibody in PBS with 0.05% sodium azide
应用详情:IHC:1/200 - 1/1000
ELISA:1/10000
图片:
![BCL9L Mouse mAb[63144]](https://img1.dxycdn.com/p/s14/2025/0922/196/4095138671962699691.jpg)
Black line: Control Antigen (100 ng);Purple line: Antigen (10ng); Blue line: Antigen (50 ng); Red line:Antigen (100 ng)
,
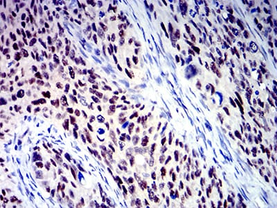
![BCL9L Mouse mAb[63144]](https://img1.dxycdn.com/p/s14/2025/0922/605/2745267033962699691.jpg)
Immunohistochemical analysis of paraffin-embedded human cervical cancer tissues using BCL9L mouse mAb with DAB staining.
风险提示:丁香通仅作为第三方平台,为商家信息发布提供平台空间。用户咨询产品时请注意保护个人信息及财产安全,合理判断,谨慎选购商品,商家和用户对交易行为负责。对于医疗器械类产品,请先查证核实企业经营资质和医疗器械产品注册证情况。
技术资料暂无技术资料 索取技术资料
BCL9L Mouse mAb[63144]
询价


![BCL9L Mouse mAb[63144]](https://img1.dxycdn.com/p/s14/2025/0922/632/2321321568067599691.jpg)


![FOLR2 Rabbit Polyclonal Antibody (N-term)[62024]](https://img1.dxycdn.com/p/s14/2025/0922/632/2321321568067599691.jpg!wh200)
![ANAPC10 Conjugated Antibody[C36112]](https://img1.dxycdn.com/p/s14/2025/0923/278/4431488150116040791.jpg!wh200)
![SMC2 Antibody[43911]](https://img1.dxycdn.com/p/s14/2025/0922/568/0046652811090600791.jpg!wh200)
![LYAR Antibody[34561]](https://img1.dxycdn.com/p/s14/2025/0922/359/6146153295428599691.jpg!wh200)
