相关产品推荐更多 >
万千商家帮你免费找货
0 人在求购买到急需产品
- 详细信息
- 技术资料
- 免疫原:
Purified recombinant fragment of human AURKA expressed in E. Coli.
- 形态:
liquid
- 保存条件:
Store at -20˚C
- 克隆性:
Monoclonal
- 适应物种:
Human,Rat,Monkey
- 保质期:
12 months
- 抗原来源:
Mouse
- 供应商:
南京赛戈巍生物科技有限公司
- 宿主:
Mouse
- 应用范围:
WB;IHC
- 靶点:
Uniprot:O14965
- 抗体英文名:
AURKA Mouse mAb
- 规格:
50ul/100ul
别名:AIK; ARK1; AURA; BTAK; STK6; STK7; STK15; AURORA2; MGC34538; AURKA
计算分子量:48kDa
配方:Ascitic fluid containing 0.03% sodium azide.
应用详情:WB:1/500 - 1/2000
IHC:1/200 - 1/1000
ELISA:1/10000
图片:
计算分子量:48kDa
配方:Ascitic fluid containing 0.03% sodium azide.
应用详情:WB:1/500 - 1/2000
IHC:1/200 - 1/1000
ELISA:1/10000
图片:
![AURKA Mouse mAb[63124]](https://img1.dxycdn.com/p/s14/2025/0922/823/0297180668262699691.jpg)
Red: Control Antigen (100ng); Purple: Antigen (10ng); Green: Antigen (50ng); Blue: Antigen (100ng);
,
![AURKA Mouse mAb[63124]](https://img1.dxycdn.com/p/s14/2025/0922/199/4057306257262699691.jpg)
Western blot analysis using AURKA mouse mAb against HEK293 (1), Sw620 (2), MCF-7 (3), Jurkat (4), Hela (5), HepG2 (6), Cos7 (7) and PC-12 (8) cell lysate.
,
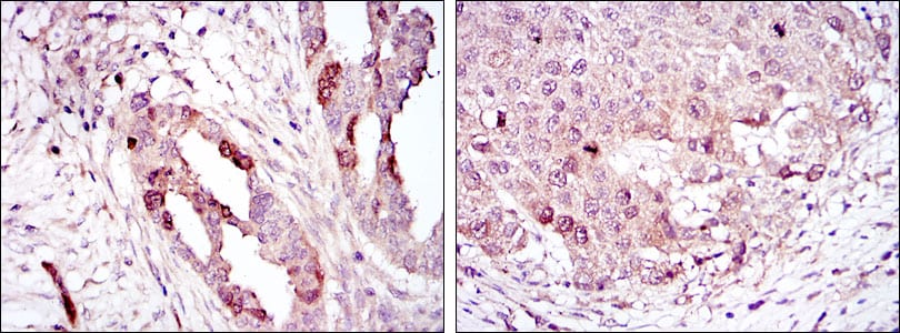
![AURKA Mouse mAb[63124]](https://img1.dxycdn.com/p/s14/2025/0922/037/6142775369262699691.jpg)
Immunohistochemical analysis of paraffin-embedded human ovarian cancer (left) and lung cancer (right) using AURKA mouse mAb with DAB staining.
风险提示:丁香通仅作为第三方平台,为商家信息发布提供平台空间。用户咨询产品时请注意保护个人信息及财产安全,合理判断,谨慎选购商品,商家和用户对交易行为负责。对于医疗器械类产品,请先查证核实企业经营资质和医疗器械产品注册证情况。
技术资料暂无技术资料 索取技术资料
AURKA Mouse mAb[63124]
询价


![AURKA Mouse mAb[63124]](https://img1.dxycdn.com/p/s14/2025/0922/632/2321321568067599691.jpg)


![Raf-1 Polyclonal Antibody[41383]](https://img1.dxycdn.com/p/s14/2025/0922/568/0046652811090600791.jpg!wh200)
![KRT10 Mouse mAb[63844]](https://img1.dxycdn.com/p/s14/2025/0922/632/2321321568067599691.jpg!wh200)

![SERPINA9 Antibody[37387]](https://img1.dxycdn.com/p/s14/2025/0922/359/6146153295428599691.jpg!wh200)
