相关产品推荐更多 >
万千商家帮你免费找货
0 人在求购买到急需产品
- 详细信息
- 技术资料
- 免疫原:
Purified recombinant fragment of human ASS1 expressed in E. Coli. <br>
- 形态:
liquid
- 保存条件:
Store at -20˚C
- 克隆性:
Monoclonal
- 适应物种:
Human;Mouse;Monkey
- 保质期:
12 months
- 抗原来源:
Mouse
- 供应商:
南京赛戈巍生物科技有限公司
- 宿主:
Mouse
- 应用范围:
WB;IHC
- 靶点:
Uniprot:P00966
- 抗体英文名:
ASS1 Mouse mAb
- 规格:
50ul/100ul
计算分子量:47kDa
配方:Purified antibody in PBS with 0.05% sodium azide
应用详情:WB:1/500 - 1/2000
IHC:1/200 - 1/1000
ELISA:1/10000
图片:
![ASS1 Mouse mAb[63096]](https://img1.dxycdn.com/p/s14/2025/0922/684/0082391007152699691.jpg)
Black line: Control Antigen (100 ng); Purple line: Antigen(10ng); Blue line: Antigen (50 ng); Red line: Antigen (100 ng);
,
![ASS1 Mouse mAb[63096]](https://img1.dxycdn.com/p/s14/2025/0922/404/6313699746152699691.jpg)
Western blot analysis using ASS1 mouse mAb against A431 (1), RAJI (2), MOLT4 (3), Jurkat (4), A549 (5), NIH/3T3 (6), PC-12 (7) and Cos7 (8) cell lysate.
,
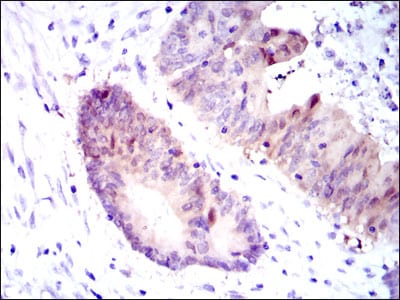
![ASS1 Mouse mAb[63096]](https://img1.dxycdn.com/p/s14/2025/0922/459/0848830507152699691.jpg)
Immunohistochemical analysis of paraffin-embedded human cervical cancer tissues using ASS1 mouse mAb with DAB staining.
,
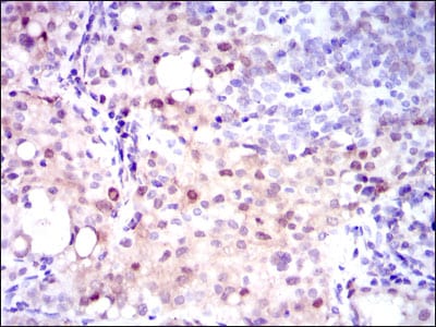
![ASS1 Mouse mAb[63096]](https://img1.dxycdn.com/p/s14/2025/0922/565/2133733057152699691.jpg)
Immunohistochemical analysis of paraffin-embedded human colon cancer tissues using ASS1 mouse mAb with DAB staining.
风险提示:丁香通仅作为第三方平台,为商家信息发布提供平台空间。用户咨询产品时请注意保护个人信息及财产安全,合理判断,谨慎选购商品,商家和用户对交易行为负责。对于医疗器械类产品,请先查证核实企业经营资质和医疗器械产品注册证情况。
技术资料暂无技术资料 索取技术资料


![ASS1 Mouse mAb[63096]](https://img1.dxycdn.com/p/s14/2025/0922/632/2321321568067599691.jpg)


![BLNK Conjugated Antibody[C57064]](https://img1.dxycdn.com/p/s14/2025/0922/632/2321321568067599691.jpg!wh200)
![CLDN18 Antibody[43625]](https://img1.dxycdn.com/p/s14/2025/0922/568/0046652811090600791.jpg!wh200)
![ILKAP Conjugated Antibody[C34057]](https://img1.dxycdn.com/p/s14/2025/0923/278/4431488150116040791.jpg!wh200)
![YAP Antibody[33778]](https://img1.dxycdn.com/p/s14/2025/0922/359/6146153295428599691.jpg!wh200)
![SIRT1 Antibody[SAB402P]](https://img1.dxycdn.com/p/s14/2025/0922/498/0460884283108299691.jpg!wh200)
