相关产品推荐更多 >
万千商家帮你免费找货
0 人在求购买到急需产品
- 详细信息
- 技术资料
- 免疫原:
A synthesized peptide derived from human TFE3
- 形态:
liquid
- 保存条件:
Store at -20˚C
- 克隆性:
Monoclonal
- 适应物种:
Human
- 保质期:
12 months
- 抗原来源:
Recombinant Rabbit
- 供应商:
南京赛戈巍生物科技有限公司
- 宿主:
Recombinant Rabbit
- 应用范围:
IHC ICC/IF FC
- 靶点:
Uniprot:P19532
- 抗体英文名:
TFE3 Rabbit mAb
- 规格:
50ul/100ul
别名:bHLHe33; RCCP2; RCCX1; Tcfe3; Tfe3; TFEA;
计算分子量:kDa
应用详情:IHC:1:50~1:200
ICC/IF:1:50~1:100
FC:1:50
图片:
计算分子量:kDa
应用详情:IHC:1:50~1:200
ICC/IF:1:50~1:100
FC:1:50
图片:
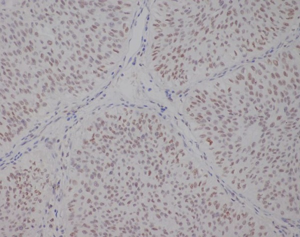
![TFE3 Rabbit mAb[56400]](https://img1.dxycdn.com/p/s14/2025/0922/797/6106639003609599691.jpg)
Immunohistochemical analysis of paraffin-embedded human bladder, using TFE3 Antibody.
风险提示:丁香通仅作为第三方平台,为商家信息发布提供平台空间。用户咨询产品时请注意保护个人信息及财产安全,合理判断,谨慎选购商品,商家和用户对交易行为负责。对于医疗器械类产品,请先查证核实企业经营资质和医疗器械产品注册证情况。
技术资料暂无技术资料 索取技术资料
TFE3 Rabbit mAb[56400]
询价


![TFE3 Rabbit mAb[56400]](https://img1.dxycdn.com/p/s14/2025/0922/632/2321321568067599691.jpg)


![PRKACB Conjugated Antibody[C32772]](https://img1.dxycdn.com/p/s14/2025/0923/278/4431488150116040791.jpg!wh200)
![KRT14 Antibody[36794]](https://img1.dxycdn.com/p/s14/2025/0922/359/6146153295428599691.jpg!wh200)
![NFAT2 (Phospho-Ser172) Antibody[12620]](https://img1.dxycdn.com/p/s14/2025/0922/568/0046652811090600791.jpg!wh200)
![IL-21 Polyclonal Conjugated Antibody[C41060]](https://img1.dxycdn.com/p/s14/2025/0922/498/0460884283108299691.jpg!wh200)
