相关产品推荐更多 >
万千商家帮你免费找货
0 人在求购买到急需产品
- 详细信息
- 技术资料
- 免疫原:
A synthesized peptide derived from human Substance P
- 形态:
liquid
- 保存条件:
Store at -20˚C
- 克隆性:
Monoclonal
- 适应物种:
Human
- 保质期:
12 months
- 抗原来源:
Recombinant Rabbit
- 供应商:
南京赛戈巍生物科技有限公司
- 宿主:
Recombinant Rabbit
- 应用范围:
IHC
- 靶点:
Uniprot:P20366
- 抗体英文名:
Substance P Rabbit mAb
- 规格:
50ul/100ul
别名:Protachykinin-1; PPT; Neurokinin A; Neuromedin L; Substance K; Neuropeptide K; NPK; TAC1; NKA, NKNA, TAC2; Tachykinin 1; tachykinin 2;
计算分子量:kDa
配方:Rabbit IgG in 10mM phosphate buffered saline , pH 7.4, 150mM sodium chloride, 0.05% BSA, 0.02% sodium azide and 50% glycerol.
应用详情:IHC 1:100-1:200
图片:
计算分子量:kDa
配方:Rabbit IgG in 10mM phosphate buffered saline , pH 7.4, 150mM sodium chloride, 0.05% BSA, 0.02% sodium azide and 50% glycerol.
应用详情:IHC 1:100-1:200
图片:
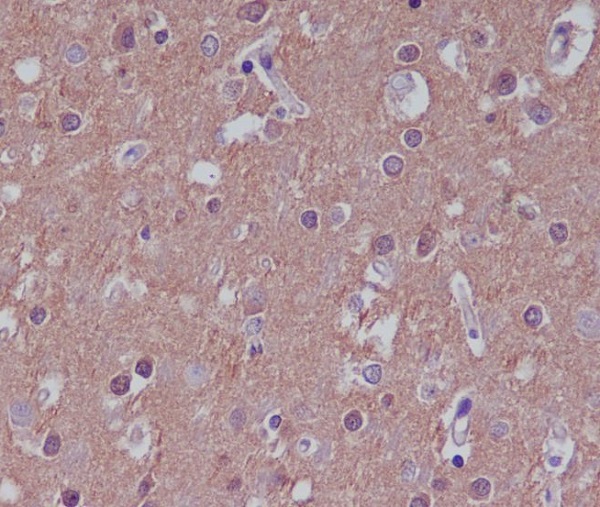
![Substance P Rabbit mAb[56143]](https://img1.dxycdn.com/p/s14/2025/0922/552/4834036301258599691.jpg)
Immunohistochemical analysis of paraffin-embedded human brain, using Substance P Antibody.
风险提示:丁香通仅作为第三方平台,为商家信息发布提供平台空间。用户咨询产品时请注意保护个人信息及财产安全,合理判断,谨慎选购商品,商家和用户对交易行为负责。对于医疗器械类产品,请先查证核实企业经营资质和医疗器械产品注册证情况。
技术资料暂无技术资料 索取技术资料
Substance P Rabbit mAb[56143]
询价


![Substance P Rabbit mAb[56143]](https://img1.dxycdn.com/p/s14/2025/0922/632/2321321568067599691.jpg)


![CD62E Mouse mAb[63409]](https://img1.dxycdn.com/p/s14/2025/0922/632/2321321568067599691.jpg!wh200)
![GSS Conjugated Antibody[C28611]](https://img1.dxycdn.com/p/s14/2025/0923/305/2150219664296040791.jpg!wh200)
![COX10 Antibody[35579]](https://img1.dxycdn.com/p/s14/2025/0922/359/6146153295428599691.jpg!wh200)
![ERK 1 Polyclonal Antibody[40900]](https://img1.dxycdn.com/p/s14/2025/0922/568/0046652811090600791.jpg!wh200)
