相关产品推荐更多 >
万千商家帮你免费找货
0 人在求购买到急需产品
- 详细信息
- 技术资料
- 免疫原:
A synthesized peptide derived from human Cyclin A1/A2
- 形态:
liquid
- 保存条件:
Store at -20˚C
- 克隆性:
Monoclonal
- 适应物种:
Human
- 保质期:
12 months
- 抗原来源:
Recombinant Rabbit
- 供应商:
南京赛戈巍生物科技有限公司
- 宿主:
Recombinant Rabbit
- 应用范围:
WB IHC IP
- 靶点:
Uniprot:P20248/P78396
- 抗体英文名:
Cyclin A1/A2 Rabbit mAb
- 规格:
50ul/100ul
别名:CCN1; CCNA; CCNA1; CCNA2; CT146; Cyclin-A; Cyclin-A1; Cyclin-A2;
计算分子量:52,49kDa
配方:Rabbit IgG in phosphate buffered saline , pH 7.4, 150mM NaCl, 0.02% sodium azide and 50% glycerol.
应用详情:
图片:
计算分子量:52,49kDa
配方:Rabbit IgG in phosphate buffered saline , pH 7.4, 150mM NaCl, 0.02% sodium azide and 50% glycerol.
应用详情:
WB:1:500~1:1000
IHC:1:100~1:500
IP:1:50
图片:
![Cyclin A1/A2 Rabbit mAb[56107]](https://img1.dxycdn.com/p/s14/2025/0922/895/4893769851448599691.jpg)
Western blot analysis of Cyclin A1/A2 expression in HeLa cell lysate.
,
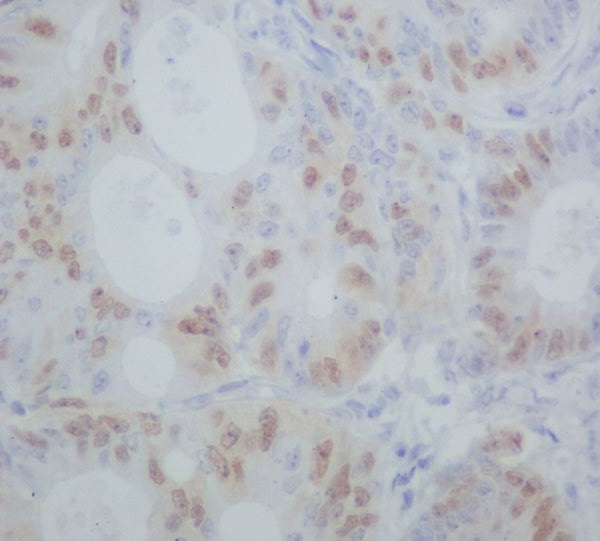
![Cyclin A1/A2 Rabbit mAb[56107]](https://img1.dxycdn.com/p/s14/2025/0922/569/2576455261448599691.jpg)
Immunohistochemical analysis of paraffin-embedded human colon cancer, using Cyclin A1/A2 Antibody.
风险提示:丁香通仅作为第三方平台,为商家信息发布提供平台空间。用户咨询产品时请注意保护个人信息及财产安全,合理判断,谨慎选购商品,商家和用户对交易行为负责。对于医疗器械类产品,请先查证核实企业经营资质和医疗器械产品注册证情况。
技术资料暂无技术资料 索取技术资料
Cyclin A1/A2 Rabbit mAb[56107]
询价


![Cyclin A1/A2 Rabbit mAb[56107]](https://img1.dxycdn.com/p/s14/2025/0922/632/2321321568067599691.jpg)


![GSTO1 Conjugated Antibody[C56435]](https://img1.dxycdn.com/p/s14/2025/0922/632/2321321568067599691.jpg!wh200)
![UMPS Antibody[43030]](https://img1.dxycdn.com/p/s14/2025/0922/568/0046652811090600791.jpg!wh200)
![PITPNM2 Antibody[39711]](https://img1.dxycdn.com/p/s14/2025/0922/359/6146153295428599691.jpg!wh200)

