相关产品推荐更多 >
万千商家帮你免费找货
0 人在求购买到急需产品
- 详细信息
- 技术资料
- 免疫原:
A synthesized peptide derived from human Histone H2B
- 形态:
liquid
- 保存条件:
Store at -20˚C
- 克隆性:
Monoclonal
- 适应物种:
Human;Mouse;Rat
- 保质期:
12 months
- 抗原来源:
Recombinant Rabbit
- 供应商:
南京赛戈巍生物科技有限公司
- 宿主:
Recombinant Rabbit
- 应用范围:
WB IHC ICC/IF IP FC ChIP
- 靶点:
Uniprot:P33778
- 抗体英文名:
Histone H2B (acetyl K20) Rabbit mAb
- 规格:
50ul/100ul
别名:H2B 1A; H2B; H2B histone family; H2B2f; H2Ba; H2Bf; HIST2H2BF; histone H2B; histone H2B type 1; Histone H2B type 2-F;
计算分子量:15kDa
配方:Rabbit IgG in phosphate buffered saline , pH 7.4, 150mM NaCl, 0.02% sodium azide and 50% glycerol.
应用详情:WB:1:5000~1:20000
IHC:1:50~1:200
ICC/IF:1:50~1:200
IP:1:10
FC:1:10
ChIP:
图片:
计算分子量:15kDa
配方:Rabbit IgG in phosphate buffered saline , pH 7.4, 150mM NaCl, 0.02% sodium azide and 50% glycerol.
应用详情:WB:1:5000~1:20000
IHC:1:50~1:200
ICC/IF:1:50~1:200
IP:1:10
FC:1:10
ChIP:
图片:

Western blot analysis of Histone H2B (acetyl K20) expression in Hela cell treated with TSA lysate.
,

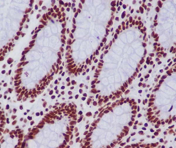
Immunohistochemical analysis of paraffin-embedded human colon, using Histone H2B (acetyl K20) Antibody.
风险提示:丁香通仅作为第三方平台,为商家信息发布提供平台空间。用户咨询产品时请注意保护个人信息及财产安全,合理判断,谨慎选购商品,商家和用户对交易行为负责。对于医疗器械类产品,请先查证核实企业经营资质和医疗器械产品注册证情况。
技术资料暂无技术资料 索取技术资料
Histone H2B (acetyl K20) Rabbit mAb[56104]
询价


![Histone H2B (acetyl K20) Rabbit mAb[56104]](https://img1.dxycdn.com/p/s14/2025/0922/632/2321321568067599691.jpg)


![CCND1 Mouse mAb[63204]](https://img1.dxycdn.com/p/s14/2025/0922/632/2321321568067599691.jpg!wh200)
![MAD4 Conjugated Antibody[C33882]](https://img1.dxycdn.com/p/s14/2025/0923/278/4431488150116040791.jpg!wh200)
![PPP2R5D Antibody[35030]](https://img1.dxycdn.com/p/s14/2025/0922/359/6146153295428599691.jpg!wh200)
![NAV2 Rabbit Polyclonal Antibody[54176]](https://img1.dxycdn.com/p/s14/2025/0922/498/0460884283108299691.jpg!wh200)
