相关产品推荐更多 >
万千商家帮你免费找货
0 人在求购买到急需产品
- 详细信息
- 技术资料
- 免疫原:
A synthesized peptide derived from human p57 Kip2
- 形态:
liquid
- 保存条件:
Store at -20˚C
- 克隆性:
Monoclonal
- 适应物种:
Human;Mouse;Rat
- 保质期:
12 months
- 抗原来源:
Recombinant Rabbit
- 供应商:
南京赛戈巍生物科技有限公司
- 宿主:
Recombinant Rabbit
- 应用范围:
WB IHC ICC/IF IP
- 靶点:
Uniprot:P49918
- 抗体英文名:
p57 Kip2 Rabbit mAb
- 规格:
50ul/100ul
别名:BWCR; BWS; KIP2; WBS; p57; p57 Kip2; WBS ; CDKN1C; Cyclin dependent kinase inhibitor 1C
计算分子量:57kDa
配方:Rabbit IgG in phosphate buffered saline , pH 7.4, 150mM NaCl, 0.02% sodium azide and 50% glycerol.
应用详情:WB:1:500~1:2000
IHC:1:50~1:200
ICC/IF:1:50~1:200
IP:1:50
图片:
计算分子量:57kDa
配方:Rabbit IgG in phosphate buffered saline , pH 7.4, 150mM NaCl, 0.02% sodium azide and 50% glycerol.
应用详情:WB:1:500~1:2000
IHC:1:50~1:200
ICC/IF:1:50~1:200
IP:1:50
图片:
![p57 Kip2 Rabbit mAb[56039]](https://img1.dxycdn.com/p/s14/2025/0922/378/6927483112828599691.jpg)
Western blot analysis on HeLa cell using p57 Kip2 Antibody.
,
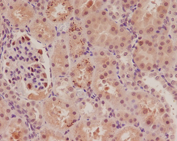
![p57 Kip2 Rabbit mAb[56039]](https://img1.dxycdn.com/p/s14/2025/0922/663/8866479262828599691.jpg)
Immunohistochemical analysis of paraffin-embedded rat kidney, using p57 Kip2 Antibody .
,
![p57 Kip2 Rabbit mAb[56039]](https://img1.dxycdn.com/p/s14/2025/0922/758/0069232462828599691.jpg)
Immunofluorescent analysis of HeLa cells treated with dexamethasone, using p57 Kip2 Antibody .
风险提示:丁香通仅作为第三方平台,为商家信息发布提供平台空间。用户咨询产品时请注意保护个人信息及财产安全,合理判断,谨慎选购商品,商家和用户对交易行为负责。对于医疗器械类产品,请先查证核实企业经营资质和医疗器械产品注册证情况。
技术资料暂无技术资料 索取技术资料
p57 Kip2 Rabbit mAb[56039]
询价


![p57 Kip2 Rabbit mAb[56039]](https://img1.dxycdn.com/p/s14/2025/0922/632/2321321568067599691.jpg)


![CD3D Mouse mAb[63388]](https://img1.dxycdn.com/p/s14/2025/0922/632/2321321568067599691.jpg!wh200)
![LNP Conjugated Antibody[C48367]](https://img1.dxycdn.com/p/s14/2025/0923/305/2150219664296040791.jpg!wh200)
![CEP290 Antibody[46475]](https://img1.dxycdn.com/p/s14/2025/0923/496/0462304380155040791.jpg!wh200)
![GDF3 Conjugated Antibody[C35754]](https://img1.dxycdn.com/p/s14/2025/0923/278/4431488150116040791.jpg!wh200)
