相关产品推荐更多 >
万千商家帮你免费找货
0 人在求购买到急需产品
- 详细信息
- 技术资料
- 免疫原:
A synthesized peptide derived from human Phospho-Tau (S396)
- 形态:
liquid
- 保存条件:
Store at -20˚C
- 克隆性:
Monoclonal
- 适应物种:
Human;Mouse;Rat
- 保质期:
12 months
- 抗原来源:
Recombinant Rabbit
- 供应商:
南京赛戈巍生物科技有限公司
- 宿主:
Recombinant Rabbit
- 应用范围:
WB IHC
- 靶点:
Uniprot:P10636
- 抗体英文名:
Tau (Phospho-Ser396) Rabbit mAb
- 规格:
50ul/100ul
别名:MAPT; Microtubule-associated protein tau; MTBT1; Neurofibrillary tangle protein; Paired helical filament-tau; PHF-tau;
计算分子量:50-80kDa
配方:Rabbit IgG in phosphate buffered saline , pH 7.4, 150mM NaCl, 0.02% sodium azide and 50% glycerol.
应用详情:WB:1:10000~1:20000
IHC1:100~1:500
图片:
计算分子量:50-80kDa
配方:Rabbit IgG in phosphate buffered saline , pH 7.4, 150mM NaCl, 0.02% sodium azide and 50% glycerol.
应用详情:WB:1:10000~1:20000
IHC1:100~1:500
图片:

Western blot analysis of Phospho-Tau (S396) expression in (1) SH-SY5Y cell lysate treated with AP; (2) SH-SY5Y cell lysate.
,

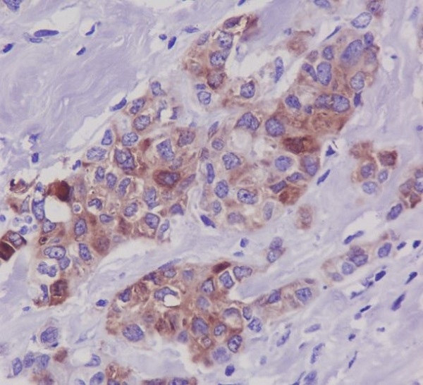
Immunohistochemical analysis of paraffin-embedded human breast carcinoma, using Phospho-Tau (S396) Antibody.
风险提示:丁香通仅作为第三方平台,为商家信息发布提供平台空间。用户咨询产品时请注意保护个人信息及财产安全,合理判断,谨慎选购商品,商家和用户对交易行为负责。对于医疗器械类产品,请先查证核实企业经营资质和医疗器械产品注册证情况。
技术资料暂无技术资料 索取技术资料
Tau (Phospho-Ser396) Rabbit mAb[14186]
询价


![Tau (Phospho-Ser396) Rabbit mAb[14186]](https://img1.dxycdn.com/p/s14/2025/0922/632/2321321568067599691.jpg)


![SFRS4 Antibody[33862]](https://img1.dxycdn.com/p/s14/2025/0922/359/6146153295428599691.jpg!wh200)
![Tau (Phospho-Ser404) Conjugated Antibody[C14288]](https://img1.dxycdn.com/p/s14/2025/0922/632/2321321568067599691.jpg!wh200)
![MRPS5 Conjugated Antibody[C34798]](https://img1.dxycdn.com/p/s14/2025/0923/278/4431488150116040791.jpg!wh200)
![OR2S2 Rabbit Polyclonal Antibody[54144]](https://img1.dxycdn.com/p/s14/2025/0922/498/0460884283108299691.jpg!wh200)
