相关产品推荐更多 >
万千商家帮你免费找货
0 人在求购买到急需产品
- 详细信息
- 技术资料
- 免疫原:
The antiserum was produced against synthesized peptide derived from human IgA.
- 形态:
liquid
- 保存条件:
Store at -20˚C
- 克隆性:
Polyclonal
- 适应物种:
Human;Mouse;Rat
- 保质期:
12 months
- 抗原来源:
Rabbit
- 供应商:
南京赛戈巍生物科技有限公司
- 宿主:
Rabbit
- 应用范围:
WB;IHC;IF;ELISA
- 靶点:
Uniprot:P01876/P01877
- 抗体英文名:
IgA Polyclonal Antibody
- 规格:
50ul/100ul
别名:IGHA1;Ig alpha-1 chain C region;IGHA2;Ig alpha-2 chain C region
计算分子量:38kD
配方:Liquid in PBS containing 50% glycerol, 0.5% BSA and 0.02% sodium azide.
应用详情:
图片:
计算分子量:38kD
配方:Liquid in PBS containing 50% glycerol, 0.5% BSA and 0.02% sodium azide.
应用详情:
WB 1:500 - 1:2000. IHC 1:100 - 1:300.
ELISA: 1:40000.. IF 1:50-200
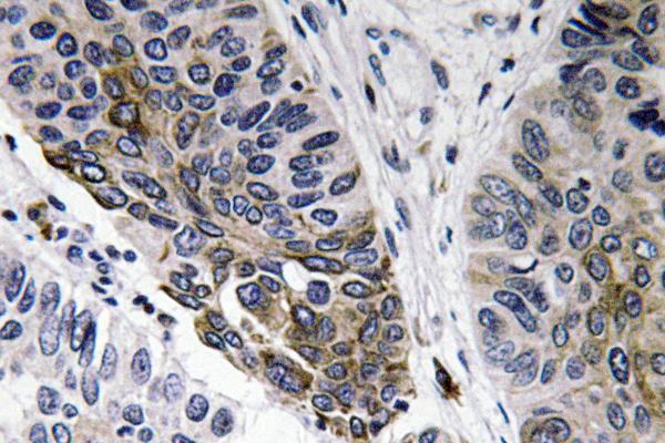
图片:
![IgA Polyclonal Antibody[49714]](https://img1.dxycdn.com/p/s14/2025/0922/485/4416403664631699691.jpg)
Western Blot analysis of various cells using IgA Polyclonal Antibody
,
![IgA Polyclonal Antibody[49714]](https://img1.dxycdn.com/p/s14/2025/0922/275/2992903294631699691.jpg)
Immunohistochemistry analysis of IgA antibody in paraffin-embedded human lung carcinoma tissue.
风险提示:丁香通仅作为第三方平台,为商家信息发布提供平台空间。用户咨询产品时请注意保护个人信息及财产安全,合理判断,谨慎选购商品,商家和用户对交易行为负责。对于医疗器械类产品,请先查证核实企业经营资质和医疗器械产品注册证情况。
技术资料暂无技术资料 索取技术资料
IgA Polyclonal Antibody[49714]
询价


![IgA Polyclonal Antibody[49714]](https://img1.dxycdn.com/p/s14/2025/0922/632/2321321568067599691.jpg)


![IL-4Rα Polyclonal Conjugated Antibody[C41061]](https://img1.dxycdn.com/p/s14/2025/0923/278/4431488150116040791.jpg!wh200)
![DDR2 Antibody[37159]](https://img1.dxycdn.com/p/s14/2025/0922/359/6146153295428599691.jpg!wh200)
![LRP8 Antibody[43118]](https://img1.dxycdn.com/p/s14/2025/0922/568/0046652811090600791.jpg!wh200)
![DLAT Conjugated Antibody[C56637]](https://img1.dxycdn.com/p/s14/2025/0922/632/2321321568067599691.jpg!wh200)
