相关产品推荐更多 >
万千商家帮你免费找货
0 人在求购买到急需产品
- 详细信息
- 技术资料
- 免疫原:
The antiserum was produced against synthesized peptide derived from human Cytochrome P450 2W1.
- 形态:
liquid
- 保存条件:
Store at -20˚C
- 克隆性:
Polyclonal
- 适应物种:
Human;Mouse;Rat
- 保质期:
12 months
- 抗原来源:
Rabbit
- 供应商:
南京赛戈巍生物科技有限公司
- 宿主:
Rabbit
- 应用范围:
WB;IHC;IF;ELISA
- 靶点:
Uniprot:Q8TAV3
- 抗体英文名:
CYP2W1 Polyclonal Antibody
- 规格:
50ul/100ul
计算分子量:55kD
配方:Liquid in PBS containing 50% glycerol, 0.5% BSA and 0.02% sodium azide.
应用详情:
WB 1:500 - 1:2000.
IHC 1:100 - 1:300.
IF 1:200 - 1:1000.
ELISA: 1:40000.
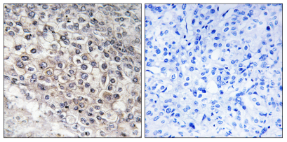
图片:

Western Blot analysis of various cells using CYP2W1 Polyclonal Antibody
,

Immunohistochemistry analysis of paraffin-embedded human liver carcinoma tissue, using Cytochrome P450 2W1 Antibody. The picture on the right is blocked with the synthesized peptide.
,

Immunofluorescence analysis of HUVEC cells, using Cytochrome P450 2W1 Antibody. The picture on the right is blocked with the synthesized peptide.
风险提示:丁香通仅作为第三方平台,为商家信息发布提供平台空间。用户咨询产品时请注意保护个人信息及财产安全,合理判断,谨慎选购商品,商家和用户对交易行为负责。对于医疗器械类产品,请先查证核实企业经营资质和医疗器械产品注册证情况。
技术资料暂无技术资料 索取技术资料


![CYP2W1 Polyclonal Antibody[49185]](https://img1.dxycdn.com/p/s14/2025/0922/632/2321321568067599691.jpg)


![Gastrin Conjugated Antibody[C33384]](https://img1.dxycdn.com/p/s14/2025/0923/278/4431488150116040791.jpg!wh200)
![SMURF2 Antibody[37124]](https://img1.dxycdn.com/p/s14/2025/0922/359/6146153295428599691.jpg!wh200)
![RNASET2 Antibody[42738]](https://img1.dxycdn.com/p/s14/2025/0922/568/0046652811090600791.jpg!wh200)
