相关产品推荐更多 >
万千商家帮你免费找货
0 人在求购买到急需产品
- 详细信息
- 文献和实验
- 技术资料
- 免疫原:
Synthesized peptide derived from human GBG11
- 形态:
liquid
- 保存条件:
Store at -20˚C
- 克隆性:
Polyclonal
- 适应物种:
Human;Mouse;Rat
- 保质期:
12 months
- 抗原来源:
Rabbit
- 供应商:
南京赛戈巍生物科技有限公司
- 宿主:
Rabbit
- 应用范围:
IHC;IF
- 靶点:
Uniprot:P61952
- 抗体英文名:
GBG11 rabbit pAb
- 规格:
50ul/100ul
配方:Liquid in PBS containing 50% glycerol, 0.5% BSA and 0.02% sodium azide.
应用详情:
IHC-p 1:50-200.
IF 1:50-200
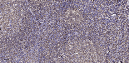
图片:

Immunohistochemical analysis of paraffin-embedded human tonsil.
风险提示:丁香通仅作为第三方平台,为商家信息发布提供平台空间。用户咨询产品时请注意保护个人信息及财产安全,合理判断,谨慎选购商品,商家和用户对交易行为负责。对于医疗器械类产品,请先查证核实企业经营资质和医疗器械产品注册证情况。
文献和实验家兔(Rabbit,Oryctolagus curiculus)
家兔(Rabbit,Oryctolagus curiculus) 一、生物学特性和解剖生理特点 1.家兔属于哺乳纲、啮齿目、兔科、草食性哺乳动性。 2.家兔体小力弱、胆小怕惊、怕热、怕潮,喜欢安静、清洁、干燥、凉爽的环境,不能忍受污秽的条件。 3.是食草类(Herbivorous)单胃动物。饲养原则是以青粗食米为主,精饲料为辅。喜欢独居,白天活动少,都处于假眠或休息状态,夜间活动大,吃食多。有啃木、扒土的习惯
IMMUNOSCREENING OF LAMBDA-GT11 BACTERIOPHAGE LIBRARIES WITH ANTIBODY PROBES
dishes of lysed E. coli to reduce anti-E. coli antibody background. These antibodies are present in all human sera, rabbit sera, and rodent sera. For each Petri dish containing solidified LB agar, mix 0.6ml of the Y1090 overnight-saturated culture with 30
家兔(Rabbit,Oryctolagus curiculus)--生物学特性和解剖生理特点
网络 第五节 家兔(Rabbit,Oryctolagus curiculus) 一、生物学特性和解剖生理特点 1.家兔属于哺乳纲、啮齿目、兔科、草食性哺乳动性。 2.家兔体小力弱、胆小怕惊、怕热、怕潮,喜欢安静、清洁、干燥、凉爽的环境,不能忍受污秽的条件。 3.是食草类(Herbivorous)单胃动物。饲养原则是以青粗食米为主
技术资料暂无技术资料 索取技术资料





![CROCC Antibody[SAB403P]](https://img1.dxycdn.com/p/s14/2025/0922/498/0460884283108299691.jpg!wh200)
![PGK2 Conjugated Antibody[C36193]](https://img1.dxycdn.com/p/s14/2025/0923/278/4431488150116040791.jpg!wh200)
![ZMAT2 Antibody[43571]](https://img1.dxycdn.com/p/s14/2025/0922/568/0046652811090600791.jpg!wh200)
![NME4 Conjugated Antibody[C47166]](https://img1.dxycdn.com/p/s14/2025/0923/305/2150219664296040791.jpg!wh200)
