相关产品推荐更多 >
万千商家帮你免费找货
0 人在求购买到急需产品
- 详细信息
- 技术资料
- 免疫原:
Synthesized peptide derived from human CQ099
- 形态:
liquid
- 保存条件:
Store at -20˚C
- 克隆性:
Polyclonal
- 适应物种:
Human;Mouse
- 保质期:
12 months
- 抗原来源:
Rabbit
- 供应商:
南京赛戈巍生物科技有限公司
- 宿主:
Rabbit
- 应用范围:
WB
- 靶点:
Uniprot:Q6UX52
- 抗体英文名:
CQ099 rabbit pAb
- 规格:
50ul/100ul
计算分子量:29kD
配方:Liquid in PBS containing 50% glycerol, 0.5% BSA and 0.02% sodium azide.
应用详情:
图片:
配方:Liquid in PBS containing 50% glycerol, 0.5% BSA and 0.02% sodium azide.
应用详情:
WB 1:500-2000
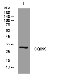
图片:
![CQ099 rabbit pAb[48962]](https://img1.dxycdn.com/p/s14/2025/0922/214/4625301884021699691.png)
Western blot analysis of lysates from U2OS cells, primary antibody was diluted at 1:1000, 4°over night
风险提示:丁香通仅作为第三方平台,为商家信息发布提供平台空间。用户咨询产品时请注意保护个人信息及财产安全,合理判断,谨慎选购商品,商家和用户对交易行为负责。对于医疗器械类产品,请先查证核实企业经营资质和医疗器械产品注册证情况。
技术资料暂无技术资料 索取技术资料
CQ099 rabbit pAb[48962]
询价


![CQ099 rabbit pAb[48962]](https://img1.dxycdn.com/p/s14/2025/0922/632/2321321568067599691.jpg)


![SUZ12 Rabbit mAb[49274]](https://img1.dxycdn.com/p/s14/2025/0923/496/0462304380155040791.jpg!wh200)

![SETD7 Conjugated Antibody[C56009]](https://img1.dxycdn.com/p/s14/2025/0922/632/2321321568067599691.jpg!wh200)
![MIP-5 Polyclonal Conjugated Antibody[C46840]](https://img1.dxycdn.com/p/s14/2025/0923/305/2150219664296040791.jpg!wh200)
