相关产品推荐更多 >
万千商家帮你免费找货
0 人在求购买到急需产品
- 详细信息
- 技术资料
- 免疫原:
Recombinant PINK1 protein was used to produced this monoclonal antibody.
- 形态:
liquid
- 保存条件:
Store at -20˚C
- 克隆性:
Monoclonal
- 适应物种:
Human;Mouse
- 保质期:
12 months
- 抗原来源:
Mouse
- 供应商:
南京赛戈巍生物科技有限公司
- 宿主:
Mouse
- 应用范围:
WB;IHC
- 靶点:
Uniprot:Q9BXM7
- 抗体英文名:
PINK1 Mouse Monoclonal Antibody
- 规格:
50ul/100ul
别名:mitochondrial, BRPK, PTEN-induced putative kinase protein 1,
计算分子量:62kDa
配方:Mouse monoclonal antibody supplied in crude ascites with 0.05% sodium azide.
应用详情:
图片:
计算分子量:62kDa
配方:Mouse monoclonal antibody supplied in crude ascites with 0.05% sodium azide.
应用详情:
WB 1:500-1:2000
IHC 1:100-1:500
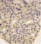
图片:

"Western blot analysis of anti-PINK1 Monoclonal Antibody in mouse brain tissue lysates. PINK1was detected using the ascites Mab."
,

"Formalin-fixed and paraffin- embedded human hepatocarcinoma tissue reacted with PINK1 Monoclonal Antibody, which was peroxidase-conjugated to the secondary antibody, followed by DAB staining."
风险提示:丁香通仅作为第三方平台,为商家信息发布提供平台空间。用户咨询产品时请注意保护个人信息及财产安全,合理判断,谨慎选购商品,商家和用户对交易行为负责。对于医疗器械类产品,请先查证核实企业经营资质和医疗器械产品注册证情况。
技术资料暂无技术资料 索取技术资料
PINK1 Mouse Monoclonal Antibody[48855]
询价


![PINK1 Mouse Monoclonal Antibody[48855]](https://img1.dxycdn.com/p/s14/2025/0922/632/2321321568067599691.jpg)


![IGFBP1 Conjugated Antibody[C36929]](https://img1.dxycdn.com/p/s14/2025/0923/278/4431488150116040791.jpg!wh200)
![OAT Antibody[43049]](https://img1.dxycdn.com/p/s14/2025/0922/568/0046652811090600791.jpg!wh200)
![ASF1B Mouse mAb[63092]](https://img1.dxycdn.com/p/s14/2025/0922/632/2321321568067599691.jpg!wh200)
