相关产品推荐更多 >
万千商家帮你免费找货
0 人在求购买到急需产品
- 详细信息
- 技术资料
- 免疫原:
Recombinant Protein of TRIM72
- 形态:
liquid
- 保存条件:
Store at -20˚C
- 克隆性:
Polyclonal
- 适应物种:
Human;Mouse;Rat
- 保质期:
12 months
- 抗原来源:
Rabbit
- 供应商:
南京赛戈巍生物科技有限公司
- 宿主:
Rabbit
- 应用范围:
WB;IHC;IF
- 靶点:
Uniprot:Q6ZMU5
- 抗体英文名:
TRIM72 Polyclonal Antibody
- 规格:
50ul/100ul
别名:Tripartite motif-containing protein 72; Mitsugumin-53; Mg53
计算分子量:53kD
配方:PBS, pH 7.4, containing 0.5%BSA, 0.02% sodium azide as Preservative and 50% Glycerol.
应用详情:
图片:
计算分子量:53kD
配方:PBS, pH 7.4, containing 0.5%BSA, 0.02% sodium azide as Preservative and 50% Glycerol.
应用详情:
WB 1:1000
IHC 1:200-500.
IF 1:50-200
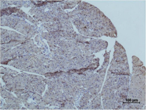
图片:

Western blot analysis of Mouse skeletal muscle using TRIM72 Polyclonal Antibody.
,

Immunohistochemical analysis of paraffin-embedded Mouse PancreasTissue using TRIM72 Polyclonal Antibody.
风险提示:丁香通仅作为第三方平台,为商家信息发布提供平台空间。用户咨询产品时请注意保护个人信息及财产安全,合理判断,谨慎选购商品,商家和用户对交易行为负责。对于医疗器械类产品,请先查证核实企业经营资质和医疗器械产品注册证情况。
技术资料暂无技术资料 索取技术资料
TRIM72 Polyclonal Antibody[48653]
询价


![TRIM72 Polyclonal Antibody[48653]](https://img1.dxycdn.com/p/s14/2025/0922/632/2321321568067599691.jpg)


![INHBA Conjugated Antibody[C33077]](https://img1.dxycdn.com/p/s14/2025/0923/278/4431488150116040791.jpg!wh200)
![ABCB1 Antibody[36980]](https://img1.dxycdn.com/p/s14/2025/0922/359/6146153295428599691.jpg!wh200)
