相关产品推荐更多 >
万千商家帮你免费找货
0 人在求购买到急需产品
- 详细信息
- 技术资料
- 免疫原:
Synthesized peptide derived from the Internal region of human PLC β2.
- 形态:
liquid
- 保存条件:
Store at -20˚C
- 克隆性:
Polyclonal
- 适应物种:
Human;Mouse;Rat
- 保质期:
12 months
- 抗原来源:
Rabbit
- 供应商:
南京赛戈巍生物科技有限公司
- 宿主:
Rabbit
- 应用范围:
WB;IHC
- 靶点:
Uniprot:Q00722
- 抗体英文名:
PLC β2 Polyclonal Antibody
- 规格:
50ul/100ul
别名:PLCB2; 1-phosphatidylinositol 4; 5-bisphosphate phosphodiesterase beta-2; Phosphoinositide phospholipase C-beta-2; Phospholipase C-beta-2; PLC-beta-2
计算分子量:150kD
配方:Liquid in PBS containing 50% glycerol, 0.5% BSA and 0.02% sodium azide.
应用详情:
图片:
计算分子量:150kD
配方:Liquid in PBS containing 50% glycerol, 0.5% BSA and 0.02% sodium azide.
应用详情:
WB 1:500-2000;IHC-p 1:50-300
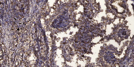
图片:

Immunohistochemical analysis of paraffin-embedded human Squamous cell carcinoma of lung.
风险提示:丁香通仅作为第三方平台,为商家信息发布提供平台空间。用户咨询产品时请注意保护个人信息及财产安全,合理判断,谨慎选购商品,商家和用户对交易行为负责。对于医疗器械类产品,请先查证核实企业经营资质和医疗器械产品注册证情况。
技术资料暂无技术资料 索取技术资料
PLC β2 Polyclonal Antibody[48323]
询价


![PLC β2 Polyclonal Antibody[48323]](https://img1.dxycdn.com/p/s14/2025/0922/632/2321321568067599691.jpg)


![DCTN5 Conjugated Antibody[C56852]](https://img1.dxycdn.com/p/s14/2025/0922/632/2321321568067599691.jpg!wh200)
![Transferrin Monoclonal Antibody(5E5)[44116]](https://img1.dxycdn.com/p/s14/2025/0922/568/0046652811090600791.jpg!wh200)
![GFR α-1 Conjugated Antibody[C33380]](https://img1.dxycdn.com/p/s14/2025/0923/278/4431488150116040791.jpg!wh200)
