相关产品推荐更多 >
万千商家帮你免费找货
0 人在求购买到急需产品
- 详细信息
- 技术资料
- 免疫原:
Purified recombinant fragment of human PDK1 expressed in E. Coli.
- 形态:
liquid
- 保存条件:
Store at -20˚C
- 克隆性:
Monoclonal
- 适应物种:
Human;Rat;Monkey
- 保质期:
12 months
- 抗原来源:
Mouse
- 供应商:
南京赛戈巍生物科技有限公司
- 宿主:
Mouse
- 应用范围:
WB;IHC;IF;FCM;ELISA
- 靶点:
Uniprot:Q15118
- 抗体英文名:
PDK1 Monoclonal Antibody
- 规格:
50ul/100ul
配方:Ascitic fluid containing 0.03% sodium azide,0.5% BSA, 50%glycerol.
应用详情:
Western Blot: 1/500 - 1/2000.
Immunohistochemistry: 1/200 - 1/1000.
Immunofluorescence: 1/200 - 1/1000.
Flow cytometry: 1/200 - 1/400.
ELISA: 1/10000.
图片:

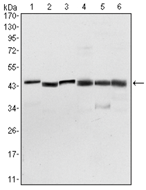
Western Blot analysis using PDK1 Monoclonal Antibody against NIH/3T3 (1), HeLa (2), Jurkat (3), HepG2 (4), PC-12 (5), and Cos7 (6) cell lysate.
,

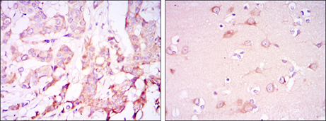
Immunohistochemistry analysis of paraffin-embedded breast cancer tissues (left) and brain tissues (right) with DAB staining using PDK1 Monoclonal Antibody.
,

Immunofluorescence analysis of HELA cells using PDK1 Monoclonal Antibody (green).
风险提示:丁香通仅作为第三方平台,为商家信息发布提供平台空间。用户咨询产品时请注意保护个人信息及财产安全,合理判断,谨慎选购商品,商家和用户对交易行为负责。对于医疗器械类产品,请先查证核实企业经营资质和医疗器械产品注册证情况。
技术资料暂无技术资料 索取技术资料


![PDK1 Monoclonal Antibody[48290]](https://img1.dxycdn.com/p/s14/2025/0922/632/2321321568067599691.jpg)


![RPS27 Conjugated Antibody[C35544]](https://img1.dxycdn.com/p/s14/2025/0923/278/4431488150116040791.jpg!wh200)
![TRML1 Polyclonal Antibody[62013]](https://img1.dxycdn.com/p/s14/2025/0922/632/2321321568067599691.jpg!wh200)
![OR52N2 Antibody[44644]](https://img1.dxycdn.com/p/s14/2025/0922/568/0046652811090600791.jpg!wh200)
