相关产品推荐更多 >
万千商家帮你免费找货
0 人在求购买到急需产品
- 详细信息
- 技术资料
- 免疫原:
Purified recombinant fragment of human CD69 expressed in E. Coli.
- 形态:
liquid
- 保存条件:
Store at -20˚C
- 克隆性:
Monoclonal
- 适应物种:
Human
- 保质期:
12 months
- 抗原来源:
Mouse
- 供应商:
南京赛戈巍生物科技有限公司
- 宿主:
Mouse
- 应用范围:
WB;IHC;IF;FCM;ELISA
- 靶点:
Uniprot:Q07108
- 抗体英文名:
CD69 Monoclonal Antibody
- 规格:
50ul/100ul
配方:Ascitic fluid containing 0.03% sodium azide,0.5% BSA, 50%glycerol.
应用详情:
图片:
应用详情:
WB: 1/500 - 1/2000.
IHC: 1/200 - 1/1000.
Flow cytometry: 1/200 - 1/400.
ELISA: 1/10000.
IF 1:50-200
图片:

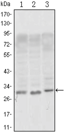
Western Blot analysis using CD69 Monoclonal Antibody against, Jurkat (1), L1210 (2) and TPH-1 (3) cell lysate.
,

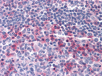
Immunohistochemistry analysis of paraffin-embedded human Tonsil tissues with AEC staining using CD69 Monoclonal Antibody.
风险提示:丁香通仅作为第三方平台,为商家信息发布提供平台空间。用户咨询产品时请注意保护个人信息及财产安全,合理判断,谨慎选购商品,商家和用户对交易行为负责。对于医疗器械类产品,请先查证核实企业经营资质和医疗器械产品注册证情况。
技术资料暂无技术资料 索取技术资料
CD69 Monoclonal Antibody[48135]
询价


![CD69 Monoclonal Antibody[48135]](https://img1.dxycdn.com/p/s14/2025/0922/632/2321321568067599691.jpg)


![MBD2 Conjugated Antibody[C56553]](https://img1.dxycdn.com/p/s14/2025/0922/632/2321321568067599691.jpg!wh200)
![Bax Mouse Monoclonal Antibody(6F11)[44146]](https://img1.dxycdn.com/p/s14/2025/0922/568/0046652811090600791.jpg!wh200)
![TNF14 Conjugated Antibody[C33586]](https://img1.dxycdn.com/p/s14/2025/0923/278/4431488150116040791.jpg!wh200)
