相关产品推荐更多 >
万千商家帮你免费找货
0 人在求购买到急需产品
- 详细信息
- 技术资料
- 免疫原:
Purified recombinant fragment of human UBE2I expressed in E. Coli. <br>
- 形态:
liquid
- 保存条件:
Store at -20˚C
- 克隆性:
Monoclonal
- 适应物种:
Human;Monkey
- 保质期:
12 months
- 抗原来源:
Mouse
- 供应商:
南京赛戈巍生物科技有限公司
- 宿主:
Mouse
- 应用范围:
WB;IHC;IF;FC
- 靶点:
Uniprot:P63279
- 抗体英文名:
UBE2I Mouse mAb
- 规格:
50ul/100ul
计算分子量:18kDa
配方:Ascitic fluid containing 0.03% sodium azide.
应用详情:WB:1/500 - 1/2000
IHC:1/200 - 1/1000
ICC:1/200 - 1/1000
FC:1/200 - 1/400
ELISA:1/10000
图片:
![UBE2I Mouse mAb[64380]](https://img1.dxycdn.com/p/s14/2025/0922/933/4053776282348699691.jpg)
Black line: Control Antigen (100 ng); Purple line: Antigen(10ng); Blue line: Antigen (50 ng); Red line: Antigen (100 ng);
,
![UBE2I Mouse mAb[64380]](https://img1.dxycdn.com/p/s14/2025/0922/989/4851736832348699691.jpg)
Western blot analysis using UBE2I mouse mAb against Hela (1), HepG2 (2), and Cos7 (3) cell lysate.
,
![UBE2I Mouse mAb[64380]](https://img1.dxycdn.com/p/s14/2025/0922/261/4859560192348699691.jpg)
Immunofluorescence analysis of HepG2 cells using UBE2I mouse mAb (green). Blue: DRAQ5 fluorescent DNA dye. Red: Actin filaments have been labeled with Alexa Fluor-555 phalloidin.
,
![UBE2I Mouse mAb[64380]](https://img1.dxycdn.com/p/s14/2025/0922/843/8634959632348699691.jpg)
Flow cytometric analysis of HepG2 cells using UBE2I mouse mAb (green) and negative control (red).
,
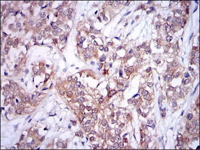
![UBE2I Mouse mAb[64380]](https://img1.dxycdn.com/p/s14/2025/0922/179/0238048492348699691.jpg)
Immunohistochemical analysis of paraffin-embedded human prostate tissues using UBE2I mouse mAb with DAB staining.
,
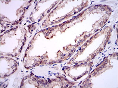
![UBE2I Mouse mAb[64380]](https://img1.dxycdn.com/p/s14/2025/0922/057/4665454992348699691.jpg)
Immunohistochemical analysis of paraffin-embedded human bladder cancer tissues using UBE2I mouse mAb with DAB staining.
风险提示:丁香通仅作为第三方平台,为商家信息发布提供平台空间。用户咨询产品时请注意保护个人信息及财产安全,合理判断,谨慎选购商品,商家和用户对交易行为负责。对于医疗器械类产品,请先查证核实企业经营资质和医疗器械产品注册证情况。
技术资料暂无技术资料 索取技术资料


![UBE2I Mouse mAb[64380]](https://img1.dxycdn.com/p/s14/2025/0922/632/2321321568067599691.jpg)


![Alcohol dehydrogenase class-3 Polyclonal Antibody[42059]](https://img1.dxycdn.com/p/s14/2025/0922/568/0046652811090600791.jpg!wh200)
![BAG4 Antibody[35277]](https://img1.dxycdn.com/p/s14/2025/0922/359/6146153295428599691.jpg!wh200)
![phospho-Eralpha(Tyr-537) Mouse mAb[64080]](https://img1.dxycdn.com/p/s14/2025/0922/632/2321321568067599691.jpg!wh200)
