相关产品推荐更多 >
万千商家帮你免费找货
0 人在求购买到急需产品
- 详细信息
- 技术资料
- 免疫原:
Purified recombinant fragment of human THY1 (AA: 17-132) expressed in E. Coli.
- 形态:
liquid
- 保存条件:
Store at -20˚C
- 克隆性:
Monoclonal
- 适应物种:
Human;Rat
- 保质期:
12 months
- 抗原来源:
Mouse
- 供应商:
南京赛戈巍生物科技有限公司
- 宿主:
Mouse
- 应用范围:
WB;IHC;IF
- 靶点:
Uniprot:P04216
- 抗体英文名:
THY1 Mouse mAb
- 规格:
50ul/100ul
计算分子量:18kDa
配方:Purified antibody in PBS with 0.05% sodium azide
应用详情:WB:1/500 - 1/2000
IHC:1/200 - 1/1000
ICC:1/200 - 1/1000
ELISA:1/10000
图片:
![THY1 Mouse mAb[64315]](https://img1.dxycdn.com/p/s14/2025/0922/467/8045817259808699691.jpg)
Black line: Control Antigen (100 ng); Purple line: Antigen(10ng); Blue line: Antigen (50 ng); Red line: Antigen (100 ng);
,
![THY1 Mouse mAb[64315]](https://img1.dxycdn.com/p/s14/2025/0922/247/0483612158808699691.jpg)
Western blot analysis using THY1 mouse mAb against T47D (1), HepG2 (2) and PC-12 (3) cell lysate.
,
![THY1 Mouse mAb[64315]](https://img1.dxycdn.com/p/s14/2025/0922/754/8693251458808699691.jpg)
Immunofluorescence analysis of Hela cells using THY1 mouse mAb (green). Blue: DRAQ5 fluorescent DNA dye. Red: Actin filaments have been labeled with Alexa Fluor-555 phalloidin.
,
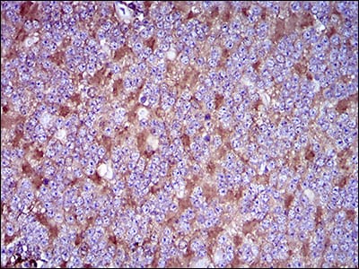
![THY1 Mouse mAb[64315]](https://img1.dxycdn.com/p/s14/2025/0922/315/6963330103908699691.jpg)
Immunohistochemical analysis of paraffin-embedded human endometrial cancer tissues using THY1 mouse mAb with DAB staining.
,
![THY1 Mouse mAb[64315]](https://img1.dxycdn.com/p/s14/2025/0922/661/6541185811908699691.jpg)
Immunohistochemical analysis of paraffin-embedded human cerebellum tissues using THY1 mouse mAb with DAB staining.
,
![THY1 Mouse mAb[64315]](https://img1.dxycdn.com/p/s14/2025/0922/726/0616784164908699691.jpg)
Immunohistochemical analysis of paraffin-embedded Rat spleen using THY1 mouse mAb with DAB staining.
,
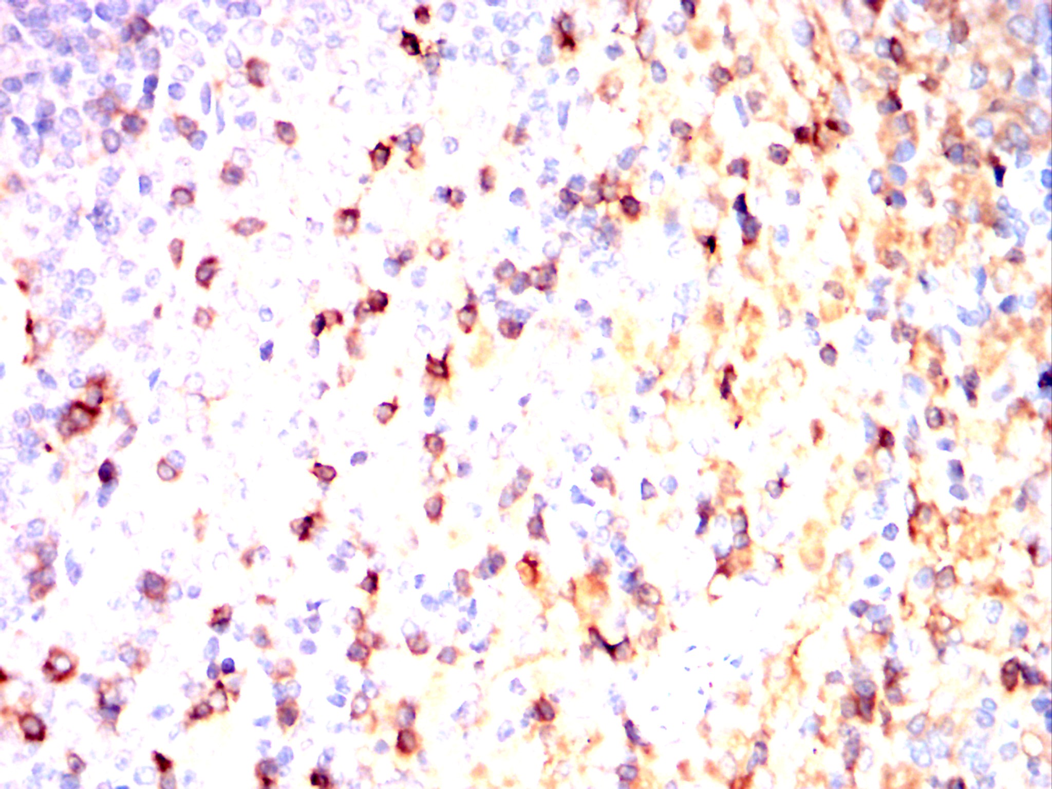
![THY1 Mouse mAb[64315]](https://img1.dxycdn.com/p/s14/2025/0922/361/6507930284908699691.jpg)
Immunohistochemical analysis of paraffin-embedded Rat kidney using THY1 mouse mAb with DAB staining.
风险提示:丁香通仅作为第三方平台,为商家信息发布提供平台空间。用户咨询产品时请注意保护个人信息及财产安全,合理判断,谨慎选购商品,商家和用户对交易行为负责。对于医疗器械类产品,请先查证核实企业经营资质和医疗器械产品注册证情况。
技术资料暂无技术资料 索取技术资料


![THY1 Mouse mAb[64315]](https://img1.dxycdn.com/p/s14/2025/0922/632/2321321568067599691.jpg)


![PDK2 Polyclonal Antibody[41330]](https://img1.dxycdn.com/p/s14/2025/0922/568/0046652811090600791.jpg!wh200)
![CLINT1 Rabbit Polyclonal Antibody[54849]](https://img1.dxycdn.com/p/s14/2025/0922/498/0460884283108299691.jpg!wh200)
![CSK Antibody[33766]](https://img1.dxycdn.com/p/s14/2025/0922/359/6146153295428599691.jpg!wh200)
