相关产品推荐更多 >
万千商家帮你免费找货
0 人在求购买到急需产品
- 详细信息
- 技术资料
- 免疫原:
Purified recombinant fragment of human TACSTD2 (AA: Extra(27-274)) expressed in E. Coli.
- 形态:
liquid
- 保存条件:
Store at -20˚C
- 克隆性:
Monoclonal
- 适应物种:
Human
- 保质期:
12 months
- 抗原来源:
Mouse
- 供应商:
南京赛戈巍生物科技有限公司
- 宿主:
Mouse
- 应用范围:
WB;IHC;FC
- 靶点:
Uniprot:P09758
- 抗体英文名:
TACSTD2 Mouse mAb
- 规格:
50ul/100ul
计算分子量:25.5kDa
配方:Purified antibody in PBS with 0.05% sodium azide
应用详情:WB:1/500 - 1/2000
IHC:1/200 - 1/1000
FC:1/200 - 1/400
ELISA:1/10000
图片:
![TACSTD2 Mouse mAb[64296]](https://img1.dxycdn.com/p/s14/2025/0922/721/8402080074108699691.jpg)
Black line: Control Antigen (100 ng);Purple line: Antigen (10ng); Blue line: Antigen (50 ng); Red line:Antigen (100 ng)
,
![TACSTD2 Mouse mAb[64296]](https://img1.dxycdn.com/p/s14/2025/0922/147/8043175463108699691.jpg)
Western blot analysis using TACSTD2 mouse mAb against A431 (1), HCT116 (2), PC-3 (3), MCF-7 (4), SK-Br-3 (5), T47D (6), HEK293 (7), and HEK293-6e (8) cell lysate.
,
![TACSTD2 Mouse mAb[64296]](https://img1.dxycdn.com/p/s14/2025/0922/583/4260942663108699691.jpg)
Flow cytometric analysis of BEL-7402 cells using TACSTD2 mouse mAb (green) and negative control (red).
,
![TACSTD2 Mouse mAb[64296]](https://img1.dxycdn.com/p/s14/2025/0922/378/2329780763108699691.jpg)
Flow cytometric analysis of HepG2 cells using TACSTD2 mouse mAb (green) and negative control (red).
,
![TACSTD2 Mouse mAb[64296]](https://img1.dxycdn.com/p/s14/2025/0922/684/0407827648108699691.jpg)
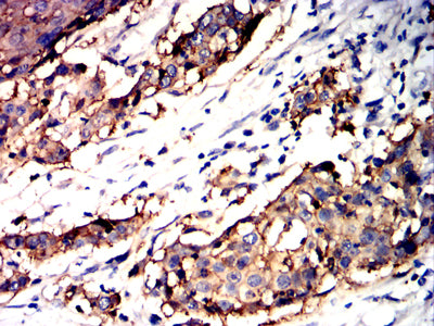
Immunohistochemical analysis of paraffin-embedded human cervical cancer tissues using TACSTD2 mouse mAb with DAB staining.
,
![TACSTD2 Mouse mAb[64296]](https://img1.dxycdn.com/p/s14/2025/0922/092/2783891108108699691.jpg)
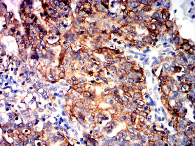
Immunohistochemical analysis of paraffin-embedded human esophageal cancer tissues using TACSTD2 mouse mAb with DAB staining.
风险提示:丁香通仅作为第三方平台,为商家信息发布提供平台空间。用户咨询产品时请注意保护个人信息及财产安全,合理判断,谨慎选购商品,商家和用户对交易行为负责。对于医疗器械类产品,请先查证核实企业经营资质和医疗器械产品注册证情况。
技术资料暂无技术资料 索取技术资料


![TACSTD2 Mouse mAb[64296]](https://img1.dxycdn.com/p/s14/2025/0922/632/2321321568067599691.jpg)


![MSK1(Phospho-phospho S376) Conjugated Antibody[C13389]](https://img1.dxycdn.com/p/s14/2025/0923/278/4431488150116040791.jpg!wh200)
![TAGAP Rabbit mAb[57125]](https://img1.dxycdn.com/p/s14/2025/0922/632/2321321568067599691.jpg!wh200)
![DIAPH3 Antibody[48533]](https://img1.dxycdn.com/p/s14/2025/0923/496/0462304380155040791.jpg!wh200)
![TRIM27 Antibody[43159]](https://img1.dxycdn.com/p/s14/2025/0922/568/0046652811090600791.jpg!wh200)
![RNF170 Polyclonal Antibody[28867]](https://img1.dxycdn.com/p/s14/2025/0923/305/2150219664296040791.jpg!wh200)
