相关产品推荐更多 >
万千商家帮你免费找货
0 人在求购买到急需产品
- 详细信息
- 技术资料
- 免疫原:
Purified recombinant fragment of SYP expressed in E. Coli.
- 形态:
liquid
- 保存条件:
Store at -20˚C
- 克隆性:
Monoclonal
- 适应物种:
Human;Rat
- 保质期:
12 months
- 抗原来源:
Mouse
- 供应商:
南京赛戈巍生物科技有限公司
- 宿主:
Mouse
- 应用范围:
WB;IHC
- 靶点:
Uniprot:P08247
- 抗体英文名:
SYP Mouse mAb
- 规格:
50ul/100ul
别名:MRXSYP; SYP
计算分子量:33.8kDa
配方:Purified antibody in PBS with 0.05% sodium azide.
应用详情:WB:1/500 - 1/2000
IHC:1/200 - 1/1000
ELISA:1/10000
图片:
计算分子量:33.8kDa
配方:Purified antibody in PBS with 0.05% sodium azide.
应用详情:WB:1/500 - 1/2000
IHC:1/200 - 1/1000
ELISA:1/10000
图片:
![SYP Mouse mAb[64294]](https://img1.dxycdn.com/p/s14/2025/0922/839/8043382048008699691.jpg)
Western blot analysis using SYP mouse mAb against rat brain tissue lysate.
,
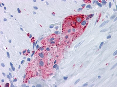
![SYP Mouse mAb[64294]](https://img1.dxycdn.com/p/s14/2025/0922/910/2300686629008699691.jpg)
Immunohistochemical analysis of paraffin-embedded human Small Intestine, myenteric plexus tissues using anti-SYP mouse mAb
风险提示:丁香通仅作为第三方平台,为商家信息发布提供平台空间。用户咨询产品时请注意保护个人信息及财产安全,合理判断,谨慎选购商品,商家和用户对交易行为负责。对于医疗器械类产品,请先查证核实企业经营资质和医疗器械产品注册证情况。
技术资料暂无技术资料 索取技术资料
SYP Mouse mAb[64294]
询价


![SYP Mouse mAb[64294]](https://img1.dxycdn.com/p/s14/2025/0922/632/2321321568067599691.jpg)


![DECR1 Conjugated Antibody[C37524]](https://img1.dxycdn.com/p/s14/2025/0923/278/4431488150116040791.jpg!wh200)
![NRAMP1 Antibody[62130]](https://img1.dxycdn.com/p/s14/2025/0922/632/2321321568067599691.jpg!wh200)
![CDHR4 Antibody[43364]](https://img1.dxycdn.com/p/s14/2025/0922/568/0046652811090600791.jpg!wh200)
![HLA-B Rabbit Polyclonal Antibody[53448]](https://img1.dxycdn.com/p/s14/2025/0922/498/0460884283108299691.jpg!wh200)
