相关产品推荐更多 >
万千商家帮你免费找货
0 人在求购买到急需产品
- 详细信息
- 技术资料
- 免疫原:
Purified recombinant fragment of human Siglec15 (AA: Extra(20-263)) expressed in Mammal.
- 形态:
liquid
- 保存条件:
Store at -20˚C
- 克隆性:
Monoclonal
- 适应物种:
Human;Monkey
- 保质期:
12 months
- 抗原来源:
Mouse
- 供应商:
南京赛戈巍生物科技有限公司
- 宿主:
Mouse
- 应用范围:
WB;IHC;IF;FC
- 靶点:
Uniprot:Q6ZMC9
- 抗体英文名:
siglec15 Mouse mAb
- 规格:
50ul/100ul
计算分子量:35.7kDa
配方:Purified antibody in PBS with 0.05% sodium azide
应用详情:WB:1/500 - 1/2000
IHC:1/200 - 1/1000
ICC:1/200 - 1/1000
FC:1/200 - 1/400
ELISA:1/10000
图片:
![siglec15 Mouse mAb[64233]](https://img1.dxycdn.com/p/s14/2025/0922/296/2112045066677699691.jpg)
Black line: Control Antigen (100 ng);Purple line: Antigen (10ng); Blue line: Antigen (50 ng); Red line:Antigen (100 ng)
,
![siglec15 Mouse mAb[64233]](https://img1.dxycdn.com/p/s14/2025/0922/932/6503357655677699691.jpg)
Western blot analysis using Siglec15 mouse mAb against PC-2 (1), LNCap (2), HEK293 (3), PC-3 (4), DU145 (5), COS-7 (6), and HEK293-6e (7) cell lysate.
,
![siglec15 Mouse mAb[64233]](https://img1.dxycdn.com/p/s14/2025/0922/097/4456598366677699691.jpg)
Immunofluorescence analysis of Hela cells using Siglec15 mouse mAb (green). Blue: DRAQ5 fluorescent DNA dye. Red: Actin filaments have been labeled with Alexa Fluor- 555 phalloidin. Secondary antibody from Fisher (Cat#: 35503)
,
![siglec15 Mouse mAb[64233]](https://img1.dxycdn.com/p/s14/2025/0922/504/2760479165677699691.jpg)
Flow cytometric analysis of Jurkat cells using Siglec15 mouse mAb (green) and negative control (red).
,
![siglec15 Mouse mAb[64233]](https://img1.dxycdn.com/p/s14/2025/0922/635/4450830955677699691.jpg)
Flow cytometric analysis of THP-1 cells using Siglec15 mouse mAb (green) and negative control (red).
,
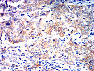
![siglec15 Mouse mAb[64233]](https://img1.dxycdn.com/p/s14/2025/0922/084/4078612189677699691.jpg)
Immunohistochemical analysis of paraffin-embedded human cervical cancer tissues using Siglec15 mouse mAb with DAB staining.
风险提示:丁香通仅作为第三方平台,为商家信息发布提供平台空间。用户咨询产品时请注意保护个人信息及财产安全,合理判断,谨慎选购商品,商家和用户对交易行为负责。对于医疗器械类产品,请先查证核实企业经营资质和医疗器械产品注册证情况。
技术资料暂无技术资料 索取技术资料


![siglec15 Mouse mAb[64233]](https://img1.dxycdn.com/p/s14/2025/0922/632/2321321568067599691.jpg)


![PLA2G4A Conjugated Antibody[C36366]](https://img1.dxycdn.com/p/s14/2025/0923/278/4431488150116040791.jpg!wh200)
![ARF1 Mouse mAb[63085]](https://img1.dxycdn.com/p/s14/2025/0922/632/2321321568067599691.jpg!wh200)
![YPEL4 Antibody[43796]](https://img1.dxycdn.com/p/s14/2025/0922/568/0046652811090600791.jpg!wh200)
