相关产品推荐更多 >
万千商家帮你免费找货
0 人在求购买到急需产品
- 详细信息
- 技术资料
- 免疫原:
Purified recombinant fragment of human SDC1 (AA: 28-171) expressed in E. Coli.
- 形态:
liquid
- 保存条件:
Store at -20˚C
- 克隆性:
Monoclonal
- 适应物种:
Human;Mouse
- 保质期:
12 months
- 抗原来源:
Mouse
- 供应商:
南京赛戈巍生物科技有限公司
- 宿主:
Mouse
- 应用范围:
WB;IHC;IF;FC
- 靶点:
Uniprot:P18827
- 抗体英文名:
SDC1 Mouse mAb
- 规格:
50ul/100ul
计算分子量:32.5kDa
配方:Purified antibody in PBS with 0.05% sodium azide.
应用详情:WB:1/500 - 1/2000
IHC:1/200 - 1/1000
ICC:1/200 - 1/1000
FC:1/200 - 1/400
ELISA:1/10000
图片:
![SDC1 Mouse mAb[64213]](https://img1.dxycdn.com/p/s14/2025/0922/840/8026003284567699691.jpg)
Black line: Control Antigen (100 ng); Purple line: Antigen(10ng); Blue line: Antigen (50 ng); Red line: Antigen (100 ng);
,
![SDC1 Mouse mAb[64213]](https://img1.dxycdn.com/p/s14/2025/0922/904/2998226084567699691.jpg)
Western blot analysis using SDC1 mouse mAb against MCF-7 (1), Hela (2), HepG2 (3), T47D (4), SW620 (5), Jurkat (6) and NIH/3T3 (7) cell lysate.
,
![SDC1 Mouse mAb[64213]](https://img1.dxycdn.com/p/s14/2025/0922/019/4203534084567699691.jpg)
Immunofluorescence analysis of HepG2 cells using SDC1 mouse mAb (green). Blue: DRAQ5 fluorescent DNA dye. Secondary antibody from Fisher (Cat#: 35503)
,
![SDC1 Mouse mAb[64213]](https://img1.dxycdn.com/p/s14/2025/0922/571/0278510084567699691.jpg)
Flow cytometric analysis of HepG2 cells using SDC1 mouse mAb (green) and negative control (red).
,
![SDC1 Mouse mAb[64213]](https://img1.dxycdn.com/p/s14/2025/0922/377/4834070736567699691.jpg)
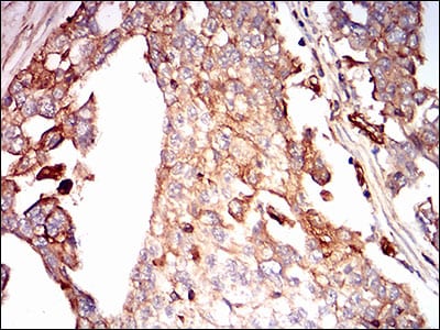
Immunohistochemical analysis of paraffin-embedded human ovarian cancer tissues using SDC1 mouse mAb with DAB staining.
,
![SDC1 Mouse mAb[64213]](https://img1.dxycdn.com/p/s14/2025/0922/375/8290891695567699691.jpg)
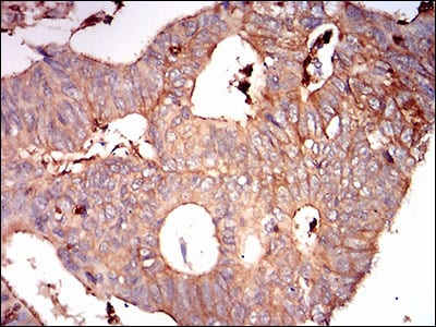
Immunohistochemical analysis of paraffin-embedded human rectum cancer tissues using SDC1 mouse mAb with DAB staining.
风险提示:丁香通仅作为第三方平台,为商家信息发布提供平台空间。用户咨询产品时请注意保护个人信息及财产安全,合理判断,谨慎选购商品,商家和用户对交易行为负责。对于医疗器械类产品,请先查证核实企业经营资质和医疗器械产品注册证情况。
技术资料暂无技术资料 索取技术资料


![SDC1 Mouse mAb[64213]](https://img1.dxycdn.com/p/s14/2025/0922/632/2321321568067599691.jpg)


![EhpB1 Mouse mAb[63578]](https://img1.dxycdn.com/p/s14/2025/0922/632/2321321568067599691.jpg!wh200)
![ACSS1 Conjugated Antibody[C28801]](https://img1.dxycdn.com/p/s14/2025/0923/305/2150219664296040791.jpg!wh200)
![HIST1H2BG Rabbit Polyclonal Antibody[55631]](https://img1.dxycdn.com/p/s14/2025/0922/498/0460884283108299691.jpg!wh200)
![PAPSS1 Antibody[36177]](https://img1.dxycdn.com/p/s14/2025/0922/359/6146153295428599691.jpg!wh200)
![MLKL Polyclonal Antibody[41150]](https://img1.dxycdn.com/p/s14/2025/0922/568/0046652811090600791.jpg!wh200)
