相关产品推荐更多 >
万千商家帮你免费找货
0 人在求购买到急需产品
- 详细信息
- 技术资料
- 免疫原:
Purified recombinant fragment of human NOS2 expressed in E. Coli. <br>
- 形态:
liquid
- 保存条件:
Store at -20˚C
- 克隆性:
Monoclonal
- 适应物种:
Human;Mouse;Rat;Monkey
- 保质期:
12 months
- 抗原来源:
Mouse
- 供应商:
南京赛戈巍生物科技有限公司
- 宿主:
Mouse
- 应用范围:
WB;IHC;FC
- 靶点:
Uniprot:P35228
- 抗体英文名:
NOS2 Mouse mAb
- 规格:
50ul/100ul
计算分子量:131kDa
配方:Purified antibody in PBS with 0.05% sodium azide
应用详情:WB:1/500 - 1/2000
IHC:1/200 - 1/1000
FC:1/200 - 1/400
ELISA:1/10000
图片:
![NOS2 Mouse mAb[64007]](https://img1.dxycdn.com/p/s14/2025/0922/814/6503355541566699691.jpg)
Black line: Control Antigen (100 ng); Purple line: Antigen(10ng); Blue line: Antigen (50 ng); Red line: Antigen (100 ng);
,
![NOS2 Mouse mAb[64007]](https://img1.dxycdn.com/p/s14/2025/0922/222/4496498070566699691.jpg)
Western blot analysis using NOS2 mouse mAb against Jurkat (1), Jurkat (2), A549 (3), HeLa (4), NIH3T3 (5)and MCF-7 (6) cell lysate.
,
![NOS2 Mouse mAb[64007]](https://img1.dxycdn.com/p/s14/2025/0922/508/0880146590566699691.jpg)
Flow cytometric analysis of MCF-7 cells using NOS2 mouse mAb (green) and negative control (red).
,
![NOS2 Mouse mAb[64007]](https://img1.dxycdn.com/p/s14/2025/0922/932/6965404960566699691.jpg)
Flow cytometric analysis of Hela cells using NOS2 mouse mAb (green) and negative control (red).
,
![NOS2 Mouse mAb[64007]](https://img1.dxycdn.com/p/s14/2025/0922/874/0000428960566699691.jpg)
Flow cytometric analysis of C6 cells using NOS2 mouse mAb (green) and negative control (red).
,
![NOS2 Mouse mAb[64007]](https://img1.dxycdn.com/p/s14/2025/0922/952/0211873860566699691.jpg)
Flow cytometric analysis of NIH/3T3 cells using NOS2 mouse mAb (green) and negative control (red).
,
![NOS2 Mouse mAb[64007]](https://img1.dxycdn.com/p/s14/2025/0922/464/8807565860566699691.jpg)
Flow cytometric analysis of COS7 cells using NOS2 mouse mAb (green) and negative control (red).
,
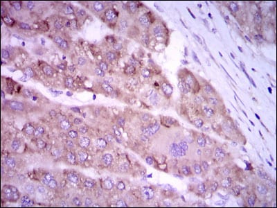
![NOS2 Mouse mAb[64007]](https://img1.dxycdn.com/p/s14/2025/0922/935/2720132741566699691.jpg)
Immunohistochemical analysis of paraffin-embedded human liver cancer tissues using NOS2 mouse mAb with DAB staining.
,
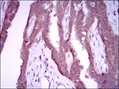
![NOS2 Mouse mAb[64007]](https://img1.dxycdn.com/p/s14/2025/0922/932/0677519781566699691.jpg)
Immunohistochemical analysis of paraffin-embedded human breast cancer tissues using NOS2 mouse mAb with DAB staining.
风险提示:丁香通仅作为第三方平台,为商家信息发布提供平台空间。用户咨询产品时请注意保护个人信息及财产安全,合理判断,谨慎选购商品,商家和用户对交易行为负责。对于医疗器械类产品,请先查证核实企业经营资质和医疗器械产品注册证情况。
技术资料暂无技术资料 索取技术资料


![NOS2 Mouse mAb[64007]](https://img1.dxycdn.com/p/s14/2025/0922/632/2321321568067599691.jpg)


![TRPV3 Antibody[40268]](https://img1.dxycdn.com/p/s14/2025/0922/568/0046652811090600791.jpg!wh200)
![MSRB1 antibody[39142]](https://img1.dxycdn.com/p/s14/2025/0922/359/6146153295428599691.jpg!wh200)

![FAM50A Conjugated Antibody[C57124]](https://img1.dxycdn.com/p/s14/2025/0922/632/2321321568067599691.jpg!wh200)
![FYN Rabbit Polyclonal Antibody[54493]](https://img1.dxycdn.com/p/s14/2025/0922/498/0460884283108299691.jpg!wh200)
