相关产品推荐更多 >
万千商家帮你免费找货
0 人在求购买到急需产品
- 详细信息
- 技术资料
- 免疫原:
Purified recombinant fragment of mouse Splunc2 expressed in E. Coli.<br>
- 形态:
liquid
- 保存条件:
Store at -20˚C
- 克隆性:
Monoclonal
- 适应物种:
Human
- 保质期:
12 months
- 抗原来源:
Mouse
- 供应商:
南京赛戈巍生物科技有限公司
- 宿主:
Mouse
- 应用范围:
IHC;IF;FC
- 靶点:
Uniprot:P07743
- 抗体英文名:
mouse Splunc2 Mouse mAb
- 规格:
50ul/100ul
应用详情:IHC:1/200 - 1/1000
ICC:1/200 - 1/1000
FC:1/200 - 1/400
ELISA:1/10000
图片:
![mouse Splunc2 Mouse mAb[63942]](https://img1.dxycdn.com/p/s14/2025/0922/862/0698481761536699691.jpg)
Black line: Control Antigen (100 ng); Purple line: Antigen(10ng); Blue line: Antigen (50 ng); Red line: Antigen (100 ng);
,
![mouse Splunc2 Mouse mAb[63942]](https://img1.dxycdn.com/p/s14/2025/0922/952/2538477812536699691.jpg)
Immunofluorescence analysis of HepG2 cells. Blue: DRAQ5 fluorescent DNA dye. Red: Actin filaments have been labeled with Alexa Fluor-555 phalloidin.
,
![mouse Splunc2 Mouse mAb[63942]](https://img1.dxycdn.com/p/s14/2025/0922/956/6100345812536699691.jpg)
Immunofluorescence analysis of HepG2 cells using mouse Splunc2 mouse mAb (green). Red: Actin filaments have been labeled with Alexa Fluor-555 phalloidin.
,
![mouse Splunc2 Mouse mAb[63942]](https://img1.dxycdn.com/p/s14/2025/0922/018/6313866461536699691.jpg)
Flow cytometric analysis of HeLa cells using mouse Splunc2 mouse mAb (green) and negative control (red).
,
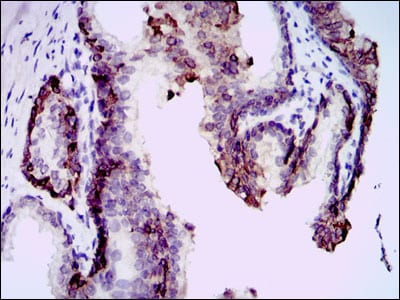
![mouse Splunc2 Mouse mAb[63942]](https://img1.dxycdn.com/p/s14/2025/0922/776/6714192122536699691.jpg)
Immunohistochemical analysis of paraffin-embedded human prostate tissues using mouse Splunc2 mouse mAb with DAB staining.
,
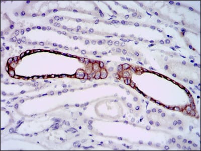
![mouse Splunc2 Mouse mAb[63942]](https://img1.dxycdn.com/p/s14/2025/0922/668/4017482712536699691.jpg)
Immunohistochemical analysis of paraffin-embedded human kidney tissues using mouse Splunc2 mouse mAb with DAB staining.
风险提示:丁香通仅作为第三方平台,为商家信息发布提供平台空间。用户咨询产品时请注意保护个人信息及财产安全,合理判断,谨慎选购商品,商家和用户对交易行为负责。对于医疗器械类产品,请先查证核实企业经营资质和医疗器械产品注册证情况。
技术资料暂无技术资料 索取技术资料


![mouse Splunc2 Mouse mAb[63942]](https://img1.dxycdn.com/p/s14/2025/0922/632/2321321568067599691.jpg)


![CYP3A43 Antibody[47006]](https://img1.dxycdn.com/p/s14/2025/0923/496/0462304380155040791.jpg!wh200)
![PTPRF Mouse mAb[64148]](https://img1.dxycdn.com/p/s14/2025/0922/632/2321321568067599691.jpg!wh200)
![MMP25 Rabbit Polyclonal Antibody[54111]](https://img1.dxycdn.com/p/s14/2025/0922/498/0460884283108299691.jpg!wh200)
