相关产品推荐更多 >
万千商家帮你免费找货
0 人在求购买到急需产品
- 详细信息
- 技术资料
- 免疫原:
Purified recombinant fragment of human MECP2 (AA: 7-148) expressed in E. Coli.
- 形态:
liquid
- 保存条件:
Store at -20˚C
- 克隆性:
Monoclonal
- 适应物种:
Human
- 保质期:
12 months
- 抗原来源:
Mouse
- 供应商:
南京赛戈巍生物科技有限公司
- 宿主:
Mouse
- 应用范围:
WB;IHC;IF;FC
- 靶点:
Uniprot:P51608
- 抗体英文名:
MECP2 Mouse mAb
- 规格:
50ul/100ul
计算分子量:52.4kDa
配方:Purified antibody in PBS with 0.05% sodium azide
应用详情:WB:1/500 - 1/2000
IHC:1/200 - 1/1000
ICC:1/200 - 1/1000
FC:1/200 - 1/400
ELISA:1/10000
图片:
![MECP2 Mouse mAb[63923]](https://img1.dxycdn.com/p/s14/2025/0922/423/8212741704926699691.jpg)
Black line: Control Antigen (100 ng); Purple line: Antigen(10ng); Blue line: Antigen (50 ng); Red line: Antigen (100 ng);
,
![MECP2 Mouse mAb[63923]](https://img1.dxycdn.com/p/s14/2025/0922/589/0211493873926699691.jpg)
Western blot analysis using MECP2 mouse mAb against A431 (1) and MCF-7 (2) cell lysate.
,
![MECP2 Mouse mAb[63923]](https://img1.dxycdn.com/p/s14/2025/0922/078/9212741704926699691.jpg)
Immunofluorescence analysis of Hela cells using MECP2 mouse mAb (green). Blue: DRAQ5 fluorescent DNA dye. Red: Actin filaments have been labeled with Alexa Fluor- 555 phalloidin. Secondary antibody from Fisher (Cat#: 35503)
,
![MECP2 Mouse mAb[63923]](https://img1.dxycdn.com/p/s14/2025/0922/667/4076371804926699691.jpg)
Flow cytometric analysis of Hela cells using MECP2 mouse mAb (green) and negative control (red).
,
![MECP2 Mouse mAb[63923]](https://img1.dxycdn.com/p/s14/2025/0922/535/2190723015926699691.jpg)
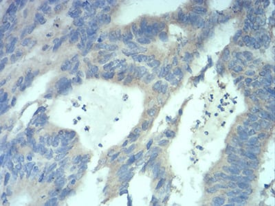
Immunohistochemical analysis of paraffin-embedded human ovarian cancer tissues using MECP2 mouse mAb with DAB staining.
,
![MECP2 Mouse mAb[63923]](https://img1.dxycdn.com/p/s14/2025/0922/058/0654139264926699691.jpg)
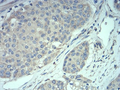
Immunohistochemical analysis of paraffin-embedded human rectum cancer tissues using MECP2 mouse mAb with DAB staining.
风险提示:丁香通仅作为第三方平台,为商家信息发布提供平台空间。用户咨询产品时请注意保护个人信息及财产安全,合理判断,谨慎选购商品,商家和用户对交易行为负责。对于医疗器械类产品,请先查证核实企业经营资质和医疗器械产品注册证情况。
技术资料暂无技术资料 索取技术资料


![MECP2 Mouse mAb[63923]](https://img1.dxycdn.com/p/s14/2025/0922/632/2321321568067599691.jpg)


![Cyclin-dependent kinase 2-associated protein 1 Polyclonal Antibody[42113]](https://img1.dxycdn.com/p/s14/2025/0922/568/0046652811090600791.jpg!wh200)

![HSF4 Mouse mAb[63748]](https://img1.dxycdn.com/p/s14/2025/0922/632/2321321568067599691.jpg!wh200)
![UPF3A Conjugated Antibody[C47515]](https://img1.dxycdn.com/p/s14/2025/0923/305/2150219664296040791.jpg!wh200)
