相关产品推荐更多 >
万千商家帮你免费找货
0 人在求购买到急需产品
- 详细信息
- 技术资料
- 免疫原:
Purified recombinant fragment of human MCM2 expressed in E. Coli. <br>
- 形态:
liquid
- 保存条件:
Store at -20˚C
- 克隆性:
Monoclonal
- 适应物种:
Human;Mouse;Rat;Monkey
- 保质期:
12 months
- 抗原来源:
Mouse
- 供应商:
南京赛戈巍生物科技有限公司
- 宿主:
Mouse
- 应用范围:
WB;IHC;FC
- 靶点:
Uniprot:P49736
- 抗体英文名:
MCM2 Mouse mAb
- 规格:
50ul/100ul
计算分子量:125kDa
配方:Purified antibody in PBS with 0.05% sodium azide.
应用详情:WB:1/500 - 1/2000
IHC:1/200 - 1/1000
FC:1/200 - 1/400
ELISA:1/10000
图片:
![MCM2 Mouse mAb[63919]](https://img1.dxycdn.com/p/s14/2025/0922/218/2348372287726699691.jpg)
Red: Control Antigen (100ng); Purple: Antigen (10ng); Green: Antigen (50ng); Blue: Antigen (100ng);
,
![MCM2 Mouse mAb[63919]](https://img1.dxycdn.com/p/s14/2025/0922/024/6961070627726699691.jpg)
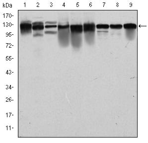
Western blot analysis using MCM2 mouse mAb against PC-12 (1), Cos7 (2), NIH/3T3 (3), HepG2 (4), HEK293 (5), K562 (6), Jurkat (7), Hela (8) and MCF-7 (9) cell lysate.
,
![MCM2 Mouse mAb[63919]](https://img1.dxycdn.com/p/s14/2025/0922/279/2572824777726699691.jpg)
Flow cytometric analysis of Hela cells using MCM2 mouse mAb (blue) and negative control (red).
,
![MCM2 Mouse mAb[63919]](https://img1.dxycdn.com/p/s14/2025/0922/534/2933805038726699691.jpg)
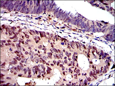
Immunohistochemical analysis of paraffin-embedded human colon cancer tissues using MCM2 mouse mAb with DAB staining.
,
![MCM2 Mouse mAb[63919]](https://img1.dxycdn.com/p/s14/2025/0922/128/2781114828726699691.jpg)
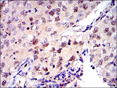
Immunohistochemical analysis of paraffin-embedded human lung cancer tissues using MCM2 mouse mAb with DAB staining.
风险提示:丁香通仅作为第三方平台,为商家信息发布提供平台空间。用户咨询产品时请注意保护个人信息及财产安全,合理判断,谨慎选购商品,商家和用户对交易行为负责。对于医疗器械类产品,请先查证核实企业经营资质和医疗器械产品注册证情况。
技术资料暂无技术资料 索取技术资料


![MCM2 Mouse mAb[63919]](https://img1.dxycdn.com/p/s14/2025/0922/632/2321321568067599691.jpg)


![ID3 Mouse mAb[63764]](https://img1.dxycdn.com/p/s14/2025/0922/632/2321321568067599691.jpg!wh200)
![PHF21A Antibody[46640]](https://img1.dxycdn.com/p/s14/2025/0923/496/0462304380155040791.jpg!wh200)
![PRC1 Rabbit Polyclonal Antibody[55087]](https://img1.dxycdn.com/p/s14/2025/0922/498/0460884283108299691.jpg!wh200)
![SLU7 Polyclonal Antibody[41440]](https://img1.dxycdn.com/p/s14/2025/0922/568/0046652811090600791.jpg!wh200)
