相关产品推荐更多 >
万千商家帮你免费找货
0 人在求购买到急需产品
- 详细信息
- 技术资料
- 免疫原:
Purified recombinant fragment of human KCNK1 (AA: extra mix) expressed in E. Coli.
- 形态:
liquid
- 保存条件:
Store at -20˚C
- 克隆性:
Monoclonal
- 适应物种:
Human
- 保质期:
12 months
- 抗原来源:
Mouse
- 供应商:
南京赛戈巍生物科技有限公司
- 宿主:
Mouse
- 应用范围:
IHC;FC
- 靶点:
Uniprot:O00180
- 抗体英文名:
KCNK1 Mouse mAb
- 规格:
50ul/100ul
计算分子量:38.1kDa
配方:Purified antibody in PBS with 0.05% sodium azide
应用详情:IHC:1/200 - 1/1000
FC:1/200 - 1/400
ELISA:1/10000
图片:
![KCNK1 Mouse mAb[63810]](https://img1.dxycdn.com/p/s14/2025/0922/807/4648119495475699691.jpg)
Black line: Control Antigen (100 ng);Purple line: Antigen (10ng); Blue line: Antigen (50 ng); Red line:Antigen (100 ng)
,
![KCNK1 Mouse mAb[63810]](https://img1.dxycdn.com/p/s14/2025/0922/002/0829881884475699691.jpg)
Flow cytometric analysis of C6 cells using KCNK1 mouse mAb (green) and negative control (red).
,
![KCNK1 Mouse mAb[63810]](https://img1.dxycdn.com/p/s14/2025/0922/001/8049421194475699691.jpg)
Flow cytometric analysis of HepG2 cells using KCNK1 mouse mAb (green) and negative control (red).
,
![KCNK1 Mouse mAb[63810]](https://img1.dxycdn.com/p/s14/2025/0922/126/2910020408475699691.jpg)
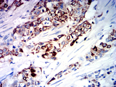
Immunohistochemical analysis of paraffin-embedded human esophageal cancer tissues using KCNK1 mouse mAb with DAB staining.
,
![KCNK1 Mouse mAb[63810]](https://img1.dxycdn.com/p/s14/2025/0922/973/0616702408475699691.jpg)
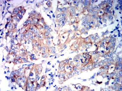
Immunohistochemical analysis of paraffin-embedded human stomach cancer tissues using KCNK1 mouse mAb with DAB staining.
风险提示:丁香通仅作为第三方平台,为商家信息发布提供平台空间。用户咨询产品时请注意保护个人信息及财产安全,合理判断,谨慎选购商品,商家和用户对交易行为负责。对于医疗器械类产品,请先查证核实企业经营资质和医疗器械产品注册证情况。
技术资料暂无技术资料 索取技术资料


![KCNK1 Mouse mAb[63810]](https://img1.dxycdn.com/p/s14/2025/0922/632/2321321568067599691.jpg)


![LRP5 Mouse mAb[63884]](https://img1.dxycdn.com/p/s14/2025/0922/632/2321321568067599691.jpg!wh200)
![PRSS2 Polyclonal Antibody[31379]](https://img1.dxycdn.com/p/s14/2025/0923/305/2150219664296040791.jpg!wh200)
![RPS6KA1/RPS6KA2/RPS6KA3 Rabbit Polyclonal Antibody[54663]](https://img1.dxycdn.com/p/s14/2025/0922/498/0460884283108299691.jpg!wh200)
![SPHK2 Antibody[36238]](https://img1.dxycdn.com/p/s14/2025/0922/359/6146153295428599691.jpg!wh200)
![ligA Polyclonal Antibody[42630]](https://img1.dxycdn.com/p/s14/2025/0922/568/0046652811090600791.jpg!wh200)
