相关产品推荐更多 >
万千商家帮你免费找货
0 人在求购买到急需产品
- 详细信息
- 技术资料
- 免疫原:
Purified recombinant fragment of human HLA-C (AA: 25-308) expressed in E. Coli.
- 形态:
liquid
- 保存条件:
Store at -20˚C
- 克隆性:
Monoclonal
- 适应物种:
Human;Mouse
- 保质期:
12 months
- 抗原来源:
Mouse
- 供应商:
南京赛戈巍生物科技有限公司
- 宿主:
Mouse
- 应用范围:
WB;IHC
- 靶点:
Uniprot:P10321
- 抗体英文名:
HLA-C Mouse mAb
- 规格:
50ul/100ul
计算分子量:40.6kDa
配方:Purified antibody in PBS with 0.05% sodium azide
应用详情:WB:1/500 - 1/2000
IHC:1/200 - 1/1000
ELISA:1/10000
图片:
![HLA-C Mouse mAb[63732]](https://img1.dxycdn.com/p/s14/2025/0922/571/0002173230535699691.jpg)
Black line: Control Antigen (100 ng);Purple line: Antigen (10ng); Blue line: Antigen (50 ng); Red line:Antigen (100 ng)
,
![HLA-C Mouse mAb[63732]](https://img1.dxycdn.com/p/s14/2025/0922/125/8239948300535699691.jpg)
Western blot analysis using HLA-C mouse mAb against Mouse Liver (1) tissue lysate.
,
![HLA-C Mouse mAb[63732]](https://img1.dxycdn.com/p/s14/2025/0922/819/2720155743535699691.jpg)
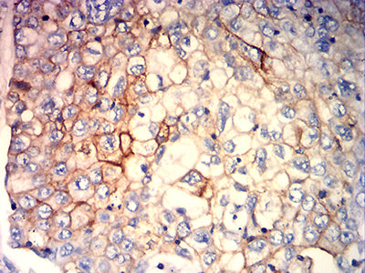
Immunohistochemical analysis of paraffin-embedded human lung cancer tissues using HLA-C mouse mAb with DAB staining.
,
![HLA-C Mouse mAb[63732]](https://img1.dxycdn.com/p/s14/2025/0922/445/8653710693535699691.jpg)
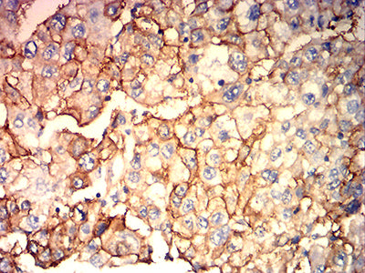
Immunohistochemical analysis of paraffin-embedded human liver cancer tissues using HLA-C mouse mAb with DAB staining.
风险提示:丁香通仅作为第三方平台,为商家信息发布提供平台空间。用户咨询产品时请注意保护个人信息及财产安全,合理判断,谨慎选购商品,商家和用户对交易行为负责。对于医疗器械类产品,请先查证核实企业经营资质和医疗器械产品注册证情况。
技术资料暂无技术资料 索取技术资料


![HLA-C Mouse mAb[63732]](https://img1.dxycdn.com/p/s14/2025/0922/632/2321321568067599691.jpg)


![FH Monoclonal Antibody[40442]](https://img1.dxycdn.com/p/s14/2025/0922/568/0046652811090600791.jpg!wh200)
![RAB11FIP2 Antibody[34949]](https://img1.dxycdn.com/p/s14/2025/0922/359/6146153295428599691.jpg!wh200)

![ALS2CR1 Conjugated Antibody[C57038]](https://img1.dxycdn.com/p/s14/2025/0922/632/2321321568067599691.jpg!wh200)
![GLA Conjugated Antibody[C38284]](https://img1.dxycdn.com/p/s14/2025/0923/278/4431488150116040791.jpg!wh200)
