相关产品推荐更多 >
万千商家帮你免费找货
0 人在求购买到急需产品
- 详细信息
- 文献和实验
- 技术资料
- 免疫原:
Purified recombinant fragment of human GPI expressed in E. Coli.
- 形态:
liquid
- 保存条件:
Store at -20˚C
- 克隆性:
Monoclonal
- 适应物种:
Human
- 保质期:
12 months
- 抗原来源:
Mouse
- 供应商:
南京赛戈巍生物科技有限公司
- 宿主:
Mouse
- 应用范围:
WB;IHC;IF
- 靶点:
Uniprot:P06744
- 抗体英文名:
Glucose-6-phosphate isomerase Mouse mAb
- 规格:
50ul/100ul
计算分子量:63kDa
配方:Purified antibody in PBS with 0.05% sodium azide.
应用详情:IHC:1/200 - 1/1000
ICC:1/200 - 1/1000
ELISA:1/10000
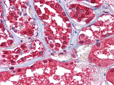
图片:

Western blot analysis using GPI mouse mAb against HepG2 (1) , SMMC-7721 (2) cell lysate and rat liver tissues lysate (3).
,

Confocal Immunofluorescence analysis of L-02 cells using GPI mouse mAb (green). Red: Actin filaments have been labeled with DY-554 phalloidin. Blue: DRAQ5 fluorescent DNA dye.
,

Immunohistochemical analysis of paraffin-embedded human Kidney tissues using GPI mouse mAb.
风险提示:丁香通仅作为第三方平台,为商家信息发布提供平台空间。用户咨询产品时请注意保护个人信息及财产安全,合理判断,谨慎选购商品,商家和用户对交易行为负责。对于医疗器械类产品,请先查证核实企业经营资质和医疗器械产品注册证情况。
文献和实验磷酸丙糖异构酶 triose phosphate isomerase, phosphotriose isomerase
催化 3- 磷酸 D- 甘油醛和磷酸二羟丙酮间互相转变的酶。 EC 5. 3. 1. 1.已知在肌肉、酵母,豌豆的种子里广泛存在,特别是可从肌肉中提纯。在糖酵解和酒精发酵的过程中,能把经醛缩酶生成的二羟丙酮磷酸转变为 3- 磷酸 D- 甘油醛。此外还在 6-磷酸葡萄糖的氧化系统(戊糖磷酸支路)中和光合成还原型戊糖磷酸循环中起着重要的作用。此反应的平衡极端地偏向于磷酸二羟丙酮一侧(平衡常数: 22)。又这种酶通常比醛缩酶要多,因此在醛缩酶的初期粗制品中,混有丙糖磷酸异构
(adjust pH to 7.8 with Binding buffer; red color) to the Protein A column.Mouse antibodies of the IgG1 subclass do not have a high affinity for protein A. Purification on protein A beads using standard conditions will yield approximately 1/10
Measurement of Glucose Homeostasis In Vivo: Glucose and Insulin Tolerance Tests
The feasibility of investigating glucose tolerance and insulin action and secretion in vivo in mouse models has provided major insights into both type 2 diabetes pathogenesis and the identification of novel strategies to treat this common
技术资料暂无技术资料 索取技术资料





![YWHAQ Conjugated Antibody[C32715]](https://img1.dxycdn.com/p/s14/2025/0923/278/4431488150116040791.jpg!wh200)
![BTBD6 Antibody[34032]](https://img1.dxycdn.com/p/s14/2025/0922/359/6146153295428599691.jpg!wh200)
![KCNN2 Conjugated Antibody[C47688]](https://img1.dxycdn.com/p/s14/2025/0923/305/2150219664296040791.jpg!wh200)
![VANGL2 Rabbit Polyclonal Antibody[55336]](https://img1.dxycdn.com/p/s14/2025/0922/498/0460884283108299691.jpg!wh200)

