相关产品推荐更多 >
万千商家帮你免费找货
0 人在求购买到急需产品
- 详细信息
- 技术资料
- 免疫原:
Purified recombinant fragment of CRYAB (aa1-175) expressed in E. Coli.
- 形态:
liquid
- 保存条件:
Store at -20˚C
- 克隆性:
Monoclonal
- 适应物种:
Human
- 保质期:
12 months
- 抗原来源:
Mouse
- 供应商:
南京赛戈巍生物科技有限公司
- 宿主:
Mouse
- 应用范围:
IHC
- 靶点:
Uniprot:P02511
- 抗体英文名:
CRYAB Mouse mAb
- 规格:
50ul/100ul
别名:CRYA2; CTPP2; HSPB5; CRYAB
配方:Purified antibody in PBS with 0.05% sodium azide.
应用详情:IHC:1/200 - 1/1000
ELISA:1/10000
图片:
配方:Purified antibody in PBS with 0.05% sodium azide.
应用详情:IHC:1/200 - 1/1000
ELISA:1/10000
图片:
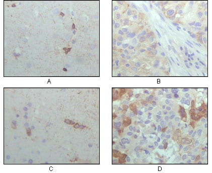
![CRYAB Mouse mAb[63508]](https://img1.dxycdn.com/p/s14/2025/0922/672/4832785810234699691.jpg)
Immunohistochemical analysis of paraffin-embedded human brain hippocampus (A), lung cancer (B), brain tumor (C), breast cance (D), showing cytoplasmic localization with DAB staining using CRYAB mouse mAb.
,
![CRYAB Mouse mAb[63508]](https://img1.dxycdn.com/p/s14/2025/0922/129/8406629569134699691.jpg)
Immunohistochemical analysis of paraffin-embedded human skeletal muscle tissues using CRYAB mouse mAb.
风险提示:丁香通仅作为第三方平台,为商家信息发布提供平台空间。用户咨询产品时请注意保护个人信息及财产安全,合理判断,谨慎选购商品,商家和用户对交易行为负责。对于医疗器械类产品,请先查证核实企业经营资质和医疗器械产品注册证情况。
技术资料暂无技术资料 索取技术资料
CRYAB Mouse mAb[63508]
询价


![CRYAB Mouse mAb[63508]](https://img1.dxycdn.com/p/s14/2025/0922/632/2321321568067599691.jpg)


![ATP7B Antibody[43445]](https://img1.dxycdn.com/p/s14/2025/0922/568/0046652811090600791.jpg!wh200)
![CD68 Rabbit mAb[49067]](https://img1.dxycdn.com/p/s14/2025/0923/496/0462304380155040791.jpg!wh200)
![CUTL1 Antibody[33764]](https://img1.dxycdn.com/p/s14/2025/0922/359/6146153295428599691.jpg!wh200)
![CD36 Polyclonal Antibody Biotin Conjugated[C90607Bio]](https://img1.dxycdn.com/p/s14/2025/0922/498/0460884283108299691.jpg!wh200)
