相关产品推荐更多 >
万千商家帮你免费找货
0 人在求购买到急需产品
- 详细信息
- 技术资料
- 免疫原:
Purified recombinant fragment of human CDKN2A (AA: 1-156) expressed in E. Coli.
- 形态:
liquid
- 保存条件:
Store at -20˚C
- 克隆性:
Monoclonal
- 适应物种:
Human
- 保质期:
12 months
- 抗原来源:
Mouse
- 供应商:
南京赛戈巍生物科技有限公司
- 宿主:
Mouse
- 应用范围:
WB;IHC;FC
- 靶点:
Uniprot:P42771
- 抗体英文名:
CDKN2A Mouse mAb
- 规格:
50ul/100ul
计算分子量:16.5kDa
配方:Purified antibody in PBS with 0.05% sodium azide.
应用详情:WB:1/500 - 1/2000
IHC:1/200 - 1/1000
FC:1/200 - 1/400
ELISA:1/10000
图片:
![CDKN2A Mouse mAb[63452]](https://img1.dxycdn.com/p/s14/2025/0922/965/2994829395904699691.jpg)
Black line: Control Antigen (100 ng); Purple line: Antigen(10ng); Blue line: Antigen (50 ng); Red line: Antigen (100 ng);
,
![CDKN2A Mouse mAb[63452]](https://img1.dxycdn.com/p/s14/2025/0922/914/6739872635904699691.jpg)
Western blot analysis using CDKN2A mouse mAb against Hela (1), HepG2 (2) and Hek293 (3) cell lysate.
,
![CDKN2A Mouse mAb[63452]](https://img1.dxycdn.com/p/s14/2025/0922/381/2705958535904699691.jpg)
Flow cytometric analysis of Hela cells using CDKN2A mouse mAb (green) and negative control (red).
,
![CDKN2A Mouse mAb[63452]](https://img1.dxycdn.com/p/s14/2025/0922/554/0800990546904699691.jpg)
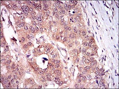
Immunohistochemical analysis of paraffin-embedded human endometrial cancer tissues using CDKN2A mouse mAb with DAB staining.
,
![CDKN2A Mouse mAb[63452]](https://img1.dxycdn.com/p/s14/2025/0922/943/2112043796904699691.jpg)
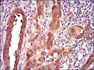
Immunohistochemical analysis of paraffin-embedded human esophageal cancer tissues using CDKN2A mouse mAb with DAB staining.
风险提示:丁香通仅作为第三方平台,为商家信息发布提供平台空间。用户咨询产品时请注意保护个人信息及财产安全,合理判断,谨慎选购商品,商家和用户对交易行为负责。对于医疗器械类产品,请先查证核实企业经营资质和医疗器械产品注册证情况。
技术资料暂无技术资料 索取技术资料


![CDKN2A Mouse mAb[63452]](https://img1.dxycdn.com/p/s14/2025/0922/632/2321321568067599691.jpg)


![MBNL1 Rabbit mAb[52797]](https://img1.dxycdn.com/p/s14/2025/0922/498/0460884283108299691.jpg!wh200)
![RNF19A Conjugated Antibody[C47193]](https://img1.dxycdn.com/p/s14/2025/0923/305/2150219664296040791.jpg!wh200)
![HSPA12A Rabbit mAb[56036]](https://img1.dxycdn.com/p/s14/2025/0922/632/2321321568067599691.jpg!wh200)
![MAGC3 Antibody[45657]](https://img1.dxycdn.com/p/s14/2025/0922/568/0046652811090600791.jpg!wh200)
![NFκB-p105/p50(Phospho-Ser907) Conjugated Antibody[C11019]](https://img1.dxycdn.com/p/s14/2025/0923/278/4431488150116040791.jpg!wh200)
