相关产品推荐更多 >
万千商家帮你免费找货
0 人在求购买到急需产品
- 详细信息
- 技术资料
- 免疫原:
Purified recombinant fragment of human CD42A (AA: extra(17-147)) expressed in E. Coli.
- 形态:
liquid
- 保存条件:
Store at -20˚C
- 克隆性:
Monoclonal
- 适应物种:
Human;Mouse
- 保质期:
12 months
- 抗原来源:
Mouse
- 供应商:
南京赛戈巍生物科技有限公司
- 宿主:
Mouse
- 应用范围:
WB;IHC;FC
- 靶点:
Uniprot:P14770
- 抗体英文名:
CD42A Mouse mAb
- 规格:
50ul/100ul
计算分子量:19kda
配方:Purified antibody in PBS with 0.05% sodium azide
应用详情:WB:1/500 - 1/2000
IHC:1/200 - 1/1000
FC:1/200 - 1/400
ELISA:1/10000
图片:
![CD42A Mouse mAb[63392]](https://img1.dxycdn.com/p/s14/2025/0922/566/2553470302673699691.jpg)
Black line: Control Antigen (100 ng);Purple line: Antigen (10ng); Blue line: Antigen (50 ng); Red line:Antigen (100 ng)
,
![CD42A Mouse mAb[63392]](https://img1.dxycdn.com/p/s14/2025/0922/498/0464859690673699691.jpg)
Western blot analysis using CD42A mouse mAb against PANC-1 (1),and L1210 (2) cell lysate.
,
![CD42A Mouse mAb[63392]](https://img1.dxycdn.com/p/s14/2025/0922/066/1867251101673699691.jpg)
Flow cytometric analysis of MOLT4 cells using CD42A mouse mAb (green) and negative control (red).
,
![CD42A Mouse mAb[63392]](https://img1.dxycdn.com/p/s14/2025/0922/162/4859754051673699691.jpg)
Flow cytometric analysis of THP-1 cells using CD42A mouse mAb (green) and negative control (red).
,
![CD42A Mouse mAb[63392]](https://img1.dxycdn.com/p/s14/2025/0922/261/0867251101673699691.jpg)
Flow cytometric analysis of U937 cells using CD42A mouse mAb (green) and negative control (red).
,
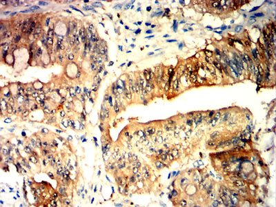
![CD42A Mouse mAb[63392]](https://img1.dxycdn.com/p/s14/2025/0922/474/0485133325673699691.jpg)
Immunohistochemical analysis of paraffin-embedded human rectal cancer tissues using CD42A mouse mAb with DAB staining.
风险提示:丁香通仅作为第三方平台,为商家信息发布提供平台空间。用户咨询产品时请注意保护个人信息及财产安全,合理判断,谨慎选购商品,商家和用户对交易行为负责。对于医疗器械类产品,请先查证核实企业经营资质和医疗器械产品注册证情况。
技术资料暂无技术资料 索取技术资料


![CD42A Mouse mAb[63392]](https://img1.dxycdn.com/p/s14/2025/0922/632/2321321568067599691.jpg)


![PKC zeta(Phospho-T560) Conjugated Antibody[C13403]](https://img1.dxycdn.com/p/s14/2025/0923/278/4431488150116040791.jpg!wh200)
![E2F5 Antibody[43261]](https://img1.dxycdn.com/p/s14/2025/0922/568/0046652811090600791.jpg!wh200)
![CaMKII alpha (Phospho-Thr286) Rabbit mAb[14292]](https://img1.dxycdn.com/p/s14/2025/0922/632/2321321568067599691.jpg!wh200)
