相关产品推荐更多 >
万千商家帮你免费找货
0 人在求购买到急需产品
- 详细信息
- 技术资料
- 免疫原:
Purified recombinant fragment of human CAMK2G (AA: 322-481) expressed in E. Coli.
- 形态:
liquid
- 保存条件:
Store at -20˚C
- 克隆性:
Monoclonal
- 适应物种:
Human,Mouse,Rat,Monkey,Rabbit
- 保质期:
12 months
- 抗原来源:
Mouse
- 供应商:
南京赛戈巍生物科技有限公司
- 宿主:
Mouse
- 应用范围:
WB;IHC;FC
- 靶点:
Uniprot:Q13555
- 抗体英文名:
CAMK2G Mouse mAb
- 规格:
50ul/100ul
计算分子量:62.6kDa
配方:Purified antibody in PBS with 0.05% sodium azide.
应用详情:WB:1/500 - 1/2000
IHC:1/100 - 1/500
FC:1/200 - 1/400
ELISA:1/10000
图片:
![CAMK2G Mouse mAb[63190]](https://img1.dxycdn.com/p/s14/2025/0922/762/2722850932192699691.jpg)
Black line: Control Antigen (100 ng); Purple line: Antigen(10ng); Blue line: Antigen (50 ng); Red line: Antigen (100 ng);
,
![CAMK2G Mouse mAb[63190]](https://img1.dxycdn.com/p/s14/2025/0922/980/8676560988092699691.jpg)
Western blot analysis using CAMK2G mouse mAb against PC-12 (1), Jurkat (2), T47D (3), HepG2 (4) cell lysate.
,
![CAMK2G Mouse mAb[63190]](https://img1.dxycdn.com/p/s14/2025/0922/332/2599039098092699691.jpg)
Western blot analysis using CAMK2G mouse mAb against PC-12(1)Raw264.7 (2)NIH/3T3(3) NRK (4) C2C12(5)C6(6)F9(7)COS-7(8)CHO3D10(9) cell lysate.
,
![CAMK2G Mouse mAb[63190]](https://img1.dxycdn.com/p/s14/2025/0922/152/8655089689092699691.jpg)
Flow cytometric analysis of Jurkat cells using CAMK2G mouse mAb (green) and negative control (red).
,
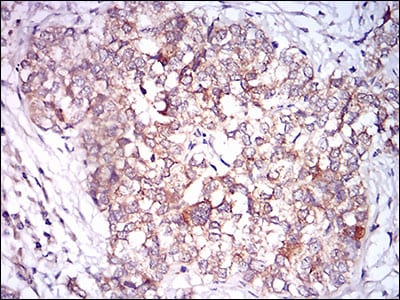
![CAMK2G Mouse mAb[63190]](https://img1.dxycdn.com/p/s14/2025/0922/032/2994483504192699691.jpg)
Immunohistochemical analysis of paraffin-embedded human prostate cancer tissues using CAMK2G mouse mAb with DAB staining.
,
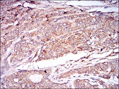
![CAMK2G Mouse mAb[63190]](https://img1.dxycdn.com/p/s14/2025/0922/718/6317288621192699691.jpg)
Immunohistochemical analysis of paraffin-embedded human bladder cancer tissues using CAMK2G mouse mAb with DAB staining.
,
![CAMK2G Mouse mAb[63190]](https://img1.dxycdn.com/p/s14/2025/0922/432/6923873780292699691.jpg)
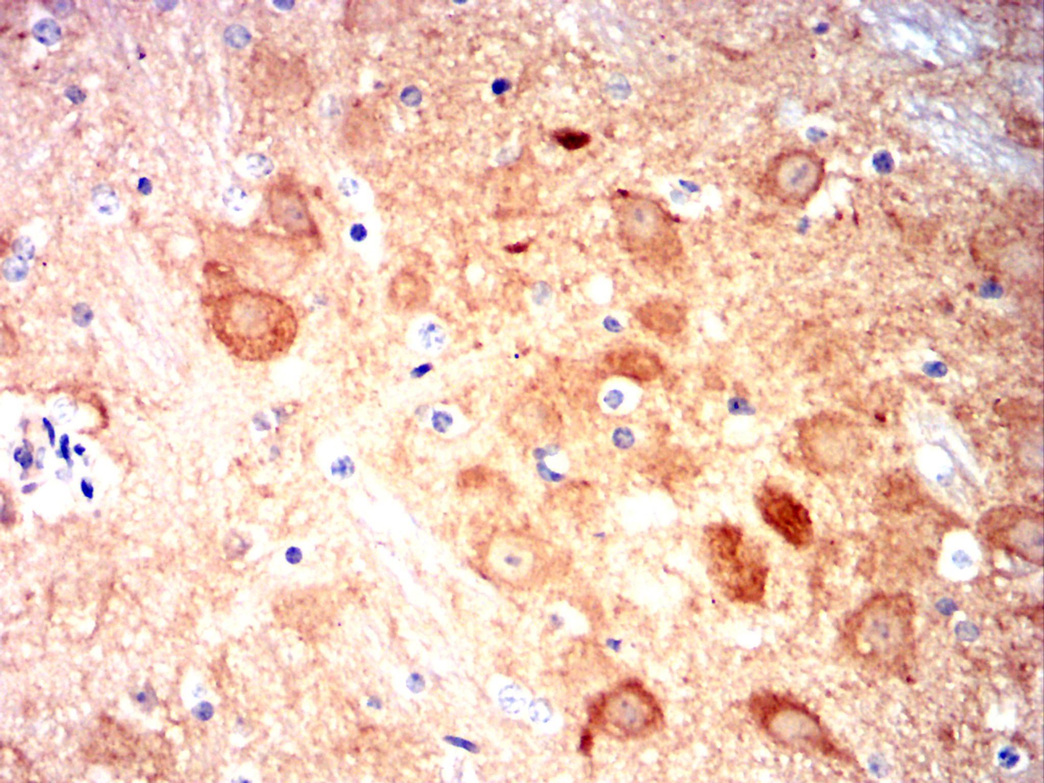
Immunohistochemical analysis of paraffin-embedded Mouse cerebellum using CAMK2G mouse mAb with DAB staining.
,
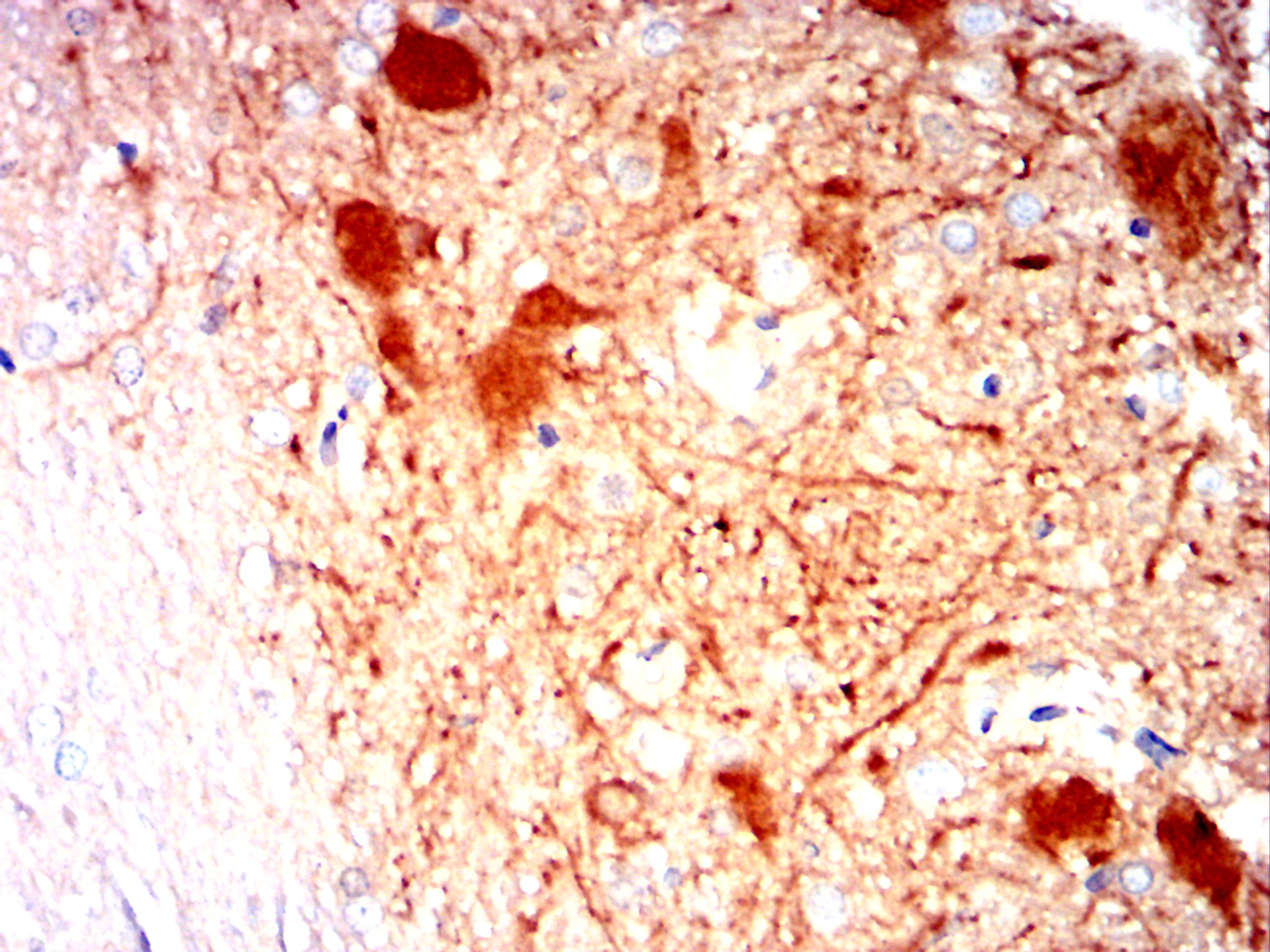
![CAMK2G Mouse mAb[63190]](https://img1.dxycdn.com/p/s14/2025/0922/244/8482471802292699691.jpg)
Immunohistochemical analysis of paraffin-embedded Rat cerebellum using CAMK2G mouse mAb with DAB staining.
,
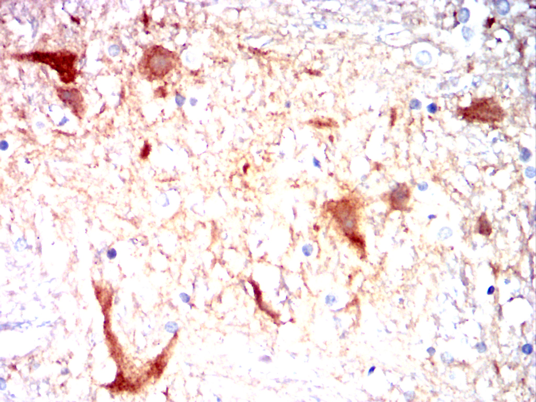
![CAMK2G Mouse mAb[63190]](https://img1.dxycdn.com/p/s14/2025/0922/546/4669805921292699691.jpg)
Immunohistochemical analysis of paraffin-embedded Rabbit spinal cord using CAMK2G mouse mAb with DAB staining.
风险提示:丁香通仅作为第三方平台,为商家信息发布提供平台空间。用户咨询产品时请注意保护个人信息及财产安全,合理判断,谨慎选购商品,商家和用户对交易行为负责。对于医疗器械类产品,请先查证核实企业经营资质和医疗器械产品注册证情况。
技术资料暂无技术资料 索取技术资料


![CAMK2G Mouse mAb[63190]](https://img1.dxycdn.com/p/s14/2025/0922/632/2321321568067599691.jpg)


![PIAS4 Conjugated Antibody[C33518]](https://img1.dxycdn.com/p/s14/2025/0923/278/4431488150116040791.jpg!wh200)
![STAT2 Antibody[37417]](https://img1.dxycdn.com/p/s14/2025/0922/359/6146153295428599691.jpg!wh200)
![SESN3 Antibody[42754]](https://img1.dxycdn.com/p/s14/2025/0922/568/0046652811090600791.jpg!wh200)
