相关产品推荐更多 >
万千商家帮你免费找货
0 人在求购买到急需产品
- 详细信息
- 技术资料
- 免疫原:
A synthesized peptide derived from human CSPG4
- 形态:
liquid
- 保存条件:
Store at -20˚C
- 克隆性:
Monoclonal
- 适应物种:
Human
- 保质期:
12 months
- 抗原来源:
Rabbit
- 供应商:
南京赛戈巍生物科技有限公司
- 宿主:
Rabbit
- 应用范围:
WB;IHC;IF
- 靶点:
Uniprot:Q6UVK1
- 抗体英文名:
CSPG4 Rabbit mAb
- 规格:
50ul/100ul
计算分子量:251 kDa
配方:Rabbit IgG in 10mM phosphate buffered saline , pH 7.4, 150mM sodium chloride, 0.05% BSA, 0.02% sodium azide and 50% glycerol.
应用详情:WB 1:1000-1:2000 IHC 1:100-1:200 IF 1:50-1:300
图片:
![CSPG4 Rabbit mAb[59290]](https://img1.dxycdn.com/p/s14/2025/0922/192/0462342972971699691.jpg)
All lanes : CSPG4 Rabbit mAb at 1/1k dilution
Lane 1 : A172 whole cell lysates
Lane 2 : A375 whole cell lysates
Lane 3 : Hela whole cell lysates
Lysates/proteins at 20 μg per lane.
Secondary
All lanes : Goat Anti-Rabbit IgG H&L (HRP) at 1/20000 dilution
Predicted band size: 251 kDa
Observed band size: 251 kDa
Exposure time: 20 seconds
,
![CSPG4 Rabbit mAb[59290]](https://img1.dxycdn.com/p/s14/2025/0922/077/8883337082971699691.jpg)
All lanes : CSPG4 Rabbit mAb at 1/1k dilution
Lane 1 : Wild-type Hela cell lysate
Lane 2 : CSPG4 knockdown Hela cell lysate
Lysates/proteins at 20 μg per lane.
,
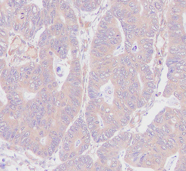
![CSPG4 Rabbit mAb[59290]](https://img1.dxycdn.com/p/s14/2025/0922/304/6984038494971699691.jpg)
Formalin-fixed, paraffin-embedded human colon carcinom tissue stained for CSPG4 using 59290 at 1/100 dilution in immunohistochemical analysis.
,
![CSPG4 Rabbit mAb[59290]](https://img1.dxycdn.com/p/s14/2025/0922/014/0238880482971699691.jpg)
Immunocytochemistry/ Immunofluorescence CSPG4 antibody (59290)
59290 staining CSPG4 in the HeLa cell line by ICC/IF. Cells were fixed with 4% Paraformaldehyde permeabilized with 0.1% Triton X-100.
Samples were incubated with 59290 at a working dilution of 1/100. The secondary antibody was Alexa Fluor? 488 goat anti rabbit, used at a dilution of 1/500.
The negative control is shown in bottom right hand panel - for the negative control, purified 59290 was used at a dilution of 1/100 followed by Alexa Fluor? 647 goat anti- rabbit antibody at a dilution of 1/500.
Nuclei were counterstained with DAPI.
风险提示:丁香通仅作为第三方平台,为商家信息发布提供平台空间。用户咨询产品时请注意保护个人信息及财产安全,合理判断,谨慎选购商品,商家和用户对交易行为负责。对于医疗器械类产品,请先查证核实企业经营资质和医疗器械产品注册证情况。
技术资料暂无技术资料 索取技术资料


![CSPG4 Rabbit mAb[59290]](https://img1.dxycdn.com/p/s14/2025/0922/632/2321321568067599691.jpg)


![DCP1A Conjugated Antibody[C36402]](https://img1.dxycdn.com/p/s14/2025/0923/278/4431488150116040791.jpg!wh200)
![APP Mouse mAb[63083]](https://img1.dxycdn.com/p/s14/2025/0922/632/2321321568067599691.jpg!wh200)
![PYM1 Antibody[43811]](https://img1.dxycdn.com/p/s14/2025/0922/568/0046652811090600791.jpg!wh200)
