相关产品推荐更多 >
万千商家帮你免费找货
0 人在求购买到急需产品
- 详细信息
- 技术资料
- 免疫原:
Synthesized peptide derived from human CD8 a
- 形态:
liquid
- 保存条件:
Store at -20˚C
- 克隆性:
Monoclonal
- 适应物种:
Human
- 保质期:
12 months
- 抗原来源:
Mouse
- 供应商:
南京赛戈巍生物科技有限公司
- 宿主:
Mouse
- 应用范围:
IHC;WB;IF
- 靶点:
Uniprot:P01732
- 抗体英文名:
CD8 a mouse mAb(ABT155)
- 规格:
50ul/100ul
别名:T-cell surface glycoprotein CD8 alpha chain (T-lymphocyte differentiation antigen T8/Leu-2;CD antigen CD8a)
配方:Liquid in PBS containing 50% glycerol, 0.5% BSA and 0.28% sodium azide.
应用详情:
图片:
配方:Liquid in PBS containing 50% glycerol, 0.5% BSA and 0.28% sodium azide.
应用详情:
IHC-p 1:100-500,
WB 1:200-1000,
IF 1:100-500
图片:
![CD8 a mouse mAb(ABT155)[58251]](https://img1.dxycdn.com/p/s14/2025/0922/283/4439690579101699691.png)
Whole cell lysates were separated by 10% SDS-PAGE, and the membrane was blotted with anti-CD8 a(ABT155) antibody.
,
![CD8 a mouse mAb(ABT155)[58251]](https://img1.dxycdn.com/p/s14/2025/0922/119/6564316981201699691.png)
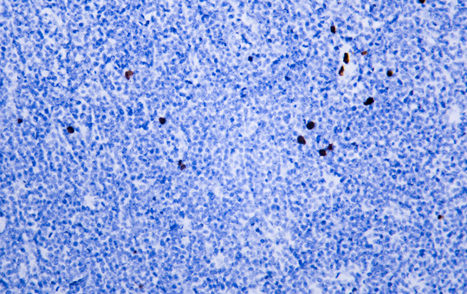
Human burkitt lymphoma tissue was stained with Anti-CD8 (ABT155) Antibody
,
![CD8 a mouse mAb(ABT155)[58251]](https://img1.dxycdn.com/p/s14/2025/0922/934/0297904331201699691.png)
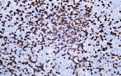
Human lymphoma tissue was stained with Anti-CD8 (ABT155) Antibody
风险提示:丁香通仅作为第三方平台,为商家信息发布提供平台空间。用户咨询产品时请注意保护个人信息及财产安全,合理判断,谨慎选购商品,商家和用户对交易行为负责。对于医疗器械类产品,请先查证核实企业经营资质和医疗器械产品注册证情况。
技术资料暂无技术资料 索取技术资料
CD8 a mouse mAb(ABT155)[58251]
询价


![CD8 a mouse mAb(ABT155)[58251]](https://img1.dxycdn.com/p/s14/2025/0922/632/2321321568067599691.jpg)


![MEK3/MEK6 Conjugated Antibody[C56110]](https://img1.dxycdn.com/p/s14/2025/0922/632/2321321568067599691.jpg!wh200)
![MCM5 Polyclonal Antibody[29165]](https://img1.dxycdn.com/p/s14/2025/0922/498/0460884283108299691.jpg!wh200)
![MRRF Conjugated Antibody[C35003]](https://img1.dxycdn.com/p/s14/2025/0923/278/4431488150116040791.jpg!wh200)
![ES8L1 Antibody[33991]](https://img1.dxycdn.com/p/s14/2025/0922/359/6146153295428599691.jpg!wh200)
